|
Obezbeđen smeštaj svim pacijentima sa prebivalištem van Beograda za vreme trajanja intervencije.
|
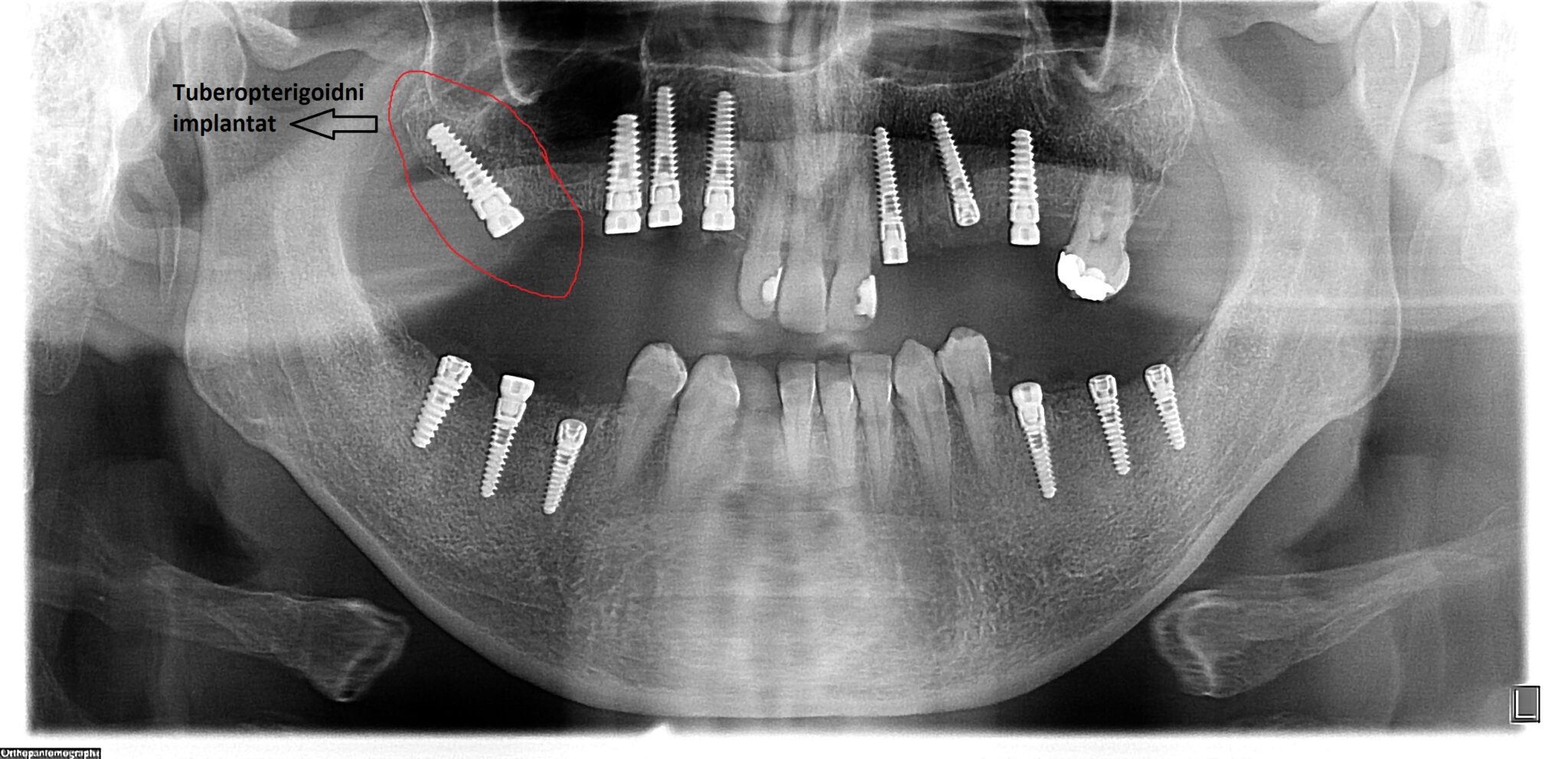
Među prvima smo u Srbiji koji su počeli sa ugradnjom tuber-pterigoidnog implanta.
Kada govorimo o ugradnji tuber-pterigoidnog implantata, mislimo na postavljanje implantata u regiju gornjeg umnjaka (tuber maksile).
Ovaj tip implantata omogućava izbegavanje sinus lift operacije, koja se inače koristi za povećanje koštane mase u predelu maksilarnog sinusa.
Na taj način, pacijent dobija stabilan i dugotrajan implantat bez potrebe za dodatnim hirurškim zahvatima..
Operacija sinus lifta zahteva komplikovanu hiruršku proceduru, a dužina čekanja na definitivni protetski rad na implantatima u toj regiji traje i do dve godine. Ugradnja tuber-pterigoidnih implantata predstavlja relativno jednostavnu metodu, ali zahteva veliko iskustvo, preciznost i temeljno znanje iz anatomije i oralne hirurgije.
Tuber-pterigoidni implantat skraćuje vreme izrade definitivnog rada na implantatima i njime se izbegavaju neprijatnosti posthirurškog toka operacije sinus lifta.
Na slikama su prikzani tubero-pterigoidni implantati postavljeni u cilju da se izbegne sinus lift procedura, čime je omogućena izrada fiksnog protetskog rada, sa kompletanim zubnim nizom, uz minimalnu površinu naleganja na meka tkiva.
Ovim terapijskim pristupom obezbeđena je maksimalna udobnost, funkcionalnost i psihosocijalna sigurnost pacijenta.
Uz primenu tuber-pterigoidnih implantata za naš tim ne postoje nerešivi slučajevi u implantologiji.
Dobar implantolog je mnogo više od hirurga koji ugrađuje implantate. To je stručnjak sa jasnom vizijom, širokim znanjem i dugogodišnjim iskustvom koje mu omogućava da u svakom trenutku donese najbolju odluku za pacijenta.
Svaki slučaj je jedinstven i za svakog pacijenta postoji rešenjje. Vrhunski implantolog precizno procenjuje stanje vilične kosti, zuba i opšteg zdravlja, a zatim definiše najefikasniji i najsigurniji plan terapije – prilagođen isključivo pacijentu.
Poverenje je temelj uspešne terapije. Ono se ne stiče obećanjima, već rezultatima. Dobar implantolog uliva sigurnost stručnošću, preciznošću i savršenim estetskim ishodom koji traje godinama.
Jer dobar implantolog nije samo stručan —
on je implantolog na delu, uz vas na svakom koraku ka savršenom osmehu.
Dentalna implantologija obuhvata najsavremenije hirurške postupke koji omogućavaju potpunu funkcionalnu i estetsku rehabilitaciju izgubljenih zuba. U osnovi svake procedure nalaze se dentalni implantati – mali metalni elementi, najčešće izrađeni od biokompatibilnog titanijuma, koji se hirurški ugrađuju u kost gornje ili donje vilice i preuzimaj ulogu korena zuba. Implantati mogu imati različite oblike i dimenzije, a biraju se u zavisnosti od anatomske situacije i individualnih potreba pacijenta. Zahvaljujući napretku u tehnologiji i tehnikama ugradnje, danas je moguće postići brzu, sigurnu i dugotrajnu rekonstrukciju osmeha – uz maksimalnu udobnost i prirodan izgled.
Prim. dr Branislav Stojanović zajedno sa grupom entuzijasta postavlja temelje moderne implantologije u Srbiji i smatra se za jednog od njenih utemeljivača u Srbiji. Učestvovao je na velikom broju domaćih i internacionalnih kongresa, i objavio veliki broj radova iz oblasti implantologije. Na osnovu dugogodišnjeg iskustva, doprinosa u razvoju stomatologije a posebno implantologije, kao i broja objavljenih radova, dr Stojanović je stekao titulu primarijusa 2009. godine.
Bilo da dolazite iz Beograda ili iz inostranstva, naša ordinacija pruža vrhunsku stomatološku negu uz personalizovan pristup, stručnost i posvećenost detaljima.
Sva prava zadržana ©2026 Implant Centar Stojanović