|
Obezbeđen smeštaj svim pacijentima sa prebivalištem van Beograda za vreme trajanja intervencije.
|
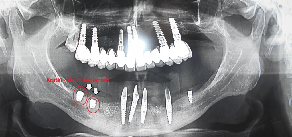
Short (kratki) implantati predstavljaju savremeno rešenje u implantologiji, koji se primenju kod pacijenta koji nemaju dovoljnu količinu kosti u bočnim regijama gornje i naorčito donje vilice, kako bi pružili podršku budućem protetskom radui i doprineli stabinosti i dugotrajnosti protetskog rada.
Za razliku od klasičnih implantata, koji su duži i zahtevaju veću količinu kosti, short implantati su kraći — ali zahvaljujući napretku u dizajnu i materijalima, jednako stabilni i dugotrajni
U situacijama kada u bočnim regijama vilice nema dovoljno koštanog tkiva za ugradnju standardnih implantata, rešenje mogu biti kratki (short) implantati. Ovi implantati predstavljaju savremeno i predvidivo rešenje koje omogućava ugradnju većeg broja implantata u oblastima ograničenog koštanog volumena, bez potrebe za dodatnim augmentacionim zahvatima(nadogradnjom kosti).
Cilj primene kratkih implantata je postizanje ravnomerne raspodele budućih sila žvakanja, čime se obezbeđuje veća stabilnost i dugotrajnost celokupnog protetskog rada kao i ugrađenih implantata. U kombinaciji sa standardnim implantatima, kratki implantati doprinose optimalnom funkcionalnom i estetskom rezultatu.
Short implantati najširu primenu imaju kod pacijenata sa smanjenom visinom kosti u donjoj i gornjoj vilici.
Vertikalna nadogradnja kosti, naročito u donjoj vilici, predstavlja praktično utopiju za pacijenta. Implantat se ne može pravilno integrisati u takvu nadomeštenu kost jer je potrebno dugo vremena da ona dobije čvrstinu prirodne kosti. Tokom procesa zarastanja veća je verovatnoća infekcije i gubitka te kosti. Prema našoj dugogodišnjoj kliničkoj praksi, procenat uspeha integracije ovakvih implantata je vrlo mali i često dovodi do nepovoljnog ishoda za pacijenta.
Iako pojedine kolege neopravdano forsiraju ovu metodu, sama nadogradnja kosti za stabilnost implantata ništa ne znači. Stabilnost implantata može se obezbediti samo u vašoj prirodnoj kosti. Zato se kod nas koriste kratki (short) implantati, koji omogućavaju sigurnu i dugotrajnu integraciju bez dodatnih komplikacija
Ceo proces je značajno kraći i efikasniji, završava se u samo jednom danu
U rukama iskusnog implantologa, short implantati omogućavaju sigurnu, brzu i predvidljivu rekonstrukciju osmeha — bez potrebe za složenim i dugotrajnim procedurama.
Važno je naglasiti da se kratki implantati nikada ne ugrađuju samostalno, već isključivo kao dopuna standardnim implantatima radi poboljšanja ukupne stabilnosti i biomehaničke ravnoteže sistema. Cena kratkih implantata ista je kao i cena standardnih implantata, jer se u oba slučaja koriste visokokvalitetni materijali i identične hirurške i protetske procedure.
Primenom ove metode možemo uspešno rešiti i složenije slučajeve, sa minimalnom količinom kosti – bez kompromisa po pitanju funkcije, trajnosti i estetike.
Pristup svakom pacijentu je individualan – cilj nam je da pronađemo najbezbednije, najbrže i najudobnije rešenje, bez nepotrebnih zahvata.
Dobar implantolog je mnogo više od hirurga koji ugrađuje implantate. To je stručnjak sa jasnom vizijom, širokim znanjem i dugogodišnjim iskustvom koje mu omogućava da u svakom trenutku donese najbolju odluku za pacijenta.
Svaki slučaj je jedinstven i za svakog pacijenta postoji rešenjje. Vrhunski implantolog precizno procenjuje stanje vilične kosti, zuba i opšteg zdravlja, a zatim definiše najefikasniji i najsigurniji plan terapije – prilagođen isključivo pacijentu.
Poverenje je temelj uspešne terapije. Ono se ne stiče obećanjima, već rezultatima. Dobar implantolog uliva sigurnost stručnošću, preciznošću i savršenim estetskim ishodom koji traje godinama.
Jer dobar implantolog nije samo stručan —
on je implantolog na delu, uz vas na svakom koraku ka savršenom osmehu.
Dentalna implantologija obuhvata najsavremenije hirurške postupke koji omogućavaju potpunu funkcionalnu i estetsku rehabilitaciju izgubljenih zuba. U osnovi svake procedure nalaze se dentalni implantati – mali metalni elementi, najčešće izrađeni od biokompatibilnog titanijuma, koji se hirurški ugrađuju u kost gornje ili donje vilice i preuzimaj ulogu korena zuba. Implantati mogu imati različite oblike i dimenzije, a biraju se u zavisnosti od anatomske situacije i individualnih potreba pacijenta. Zahvaljujući napretku u tehnologiji i tehnikama ugradnje, danas je moguće postići brzu, sigurnu i dugotrajnu rekonstrukciju osmeha – uz maksimalnu udobnost i prirodan izgled.
Prim. dr Branislav Stojanović zajedno sa grupom entuzijasta postavlja temelje moderne implantologije u Srbiji i smatra se za jednog od njenih utemeljivača u Srbiji. Učestvovao je na velikom broju domaćih i internacionalnih kongresa, i objavio veliki broj radova iz oblasti implantologije. Na osnovu dugogodišnjeg iskustva, doprinosa u razvoju stomatologije a posebno implantologije, kao i broja objavljenih radova, dr Stojanović je stekao titulu primarijusa 2009. godine.
Bilo da dolazite iz Beograda ili iz inostranstva, naša ordinacija pruža vrhunsku stomatološku negu uz personalizovan pristup, stručnost i posvećenost detaljima.
Sva prava zadržana ©2026 Implant Centar Stojanović