Naši pacijenti

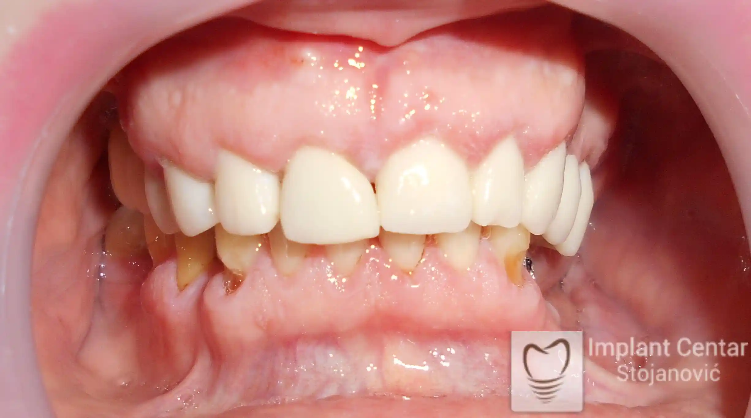
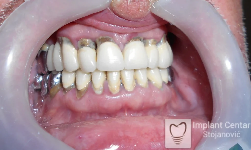
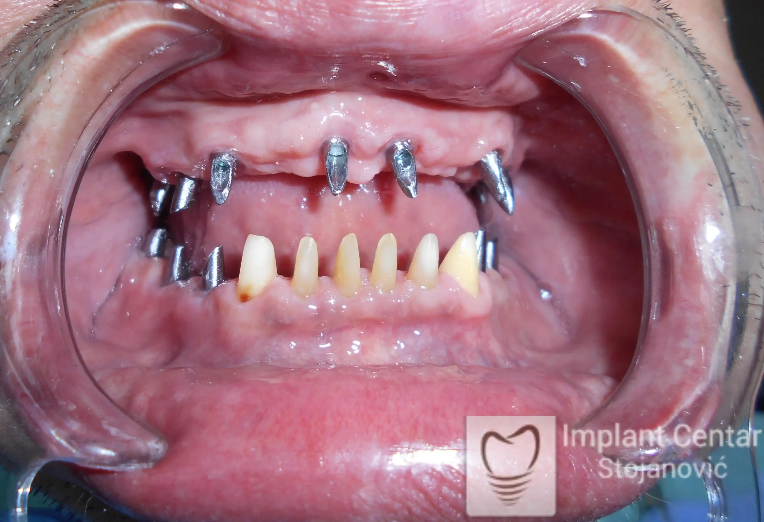
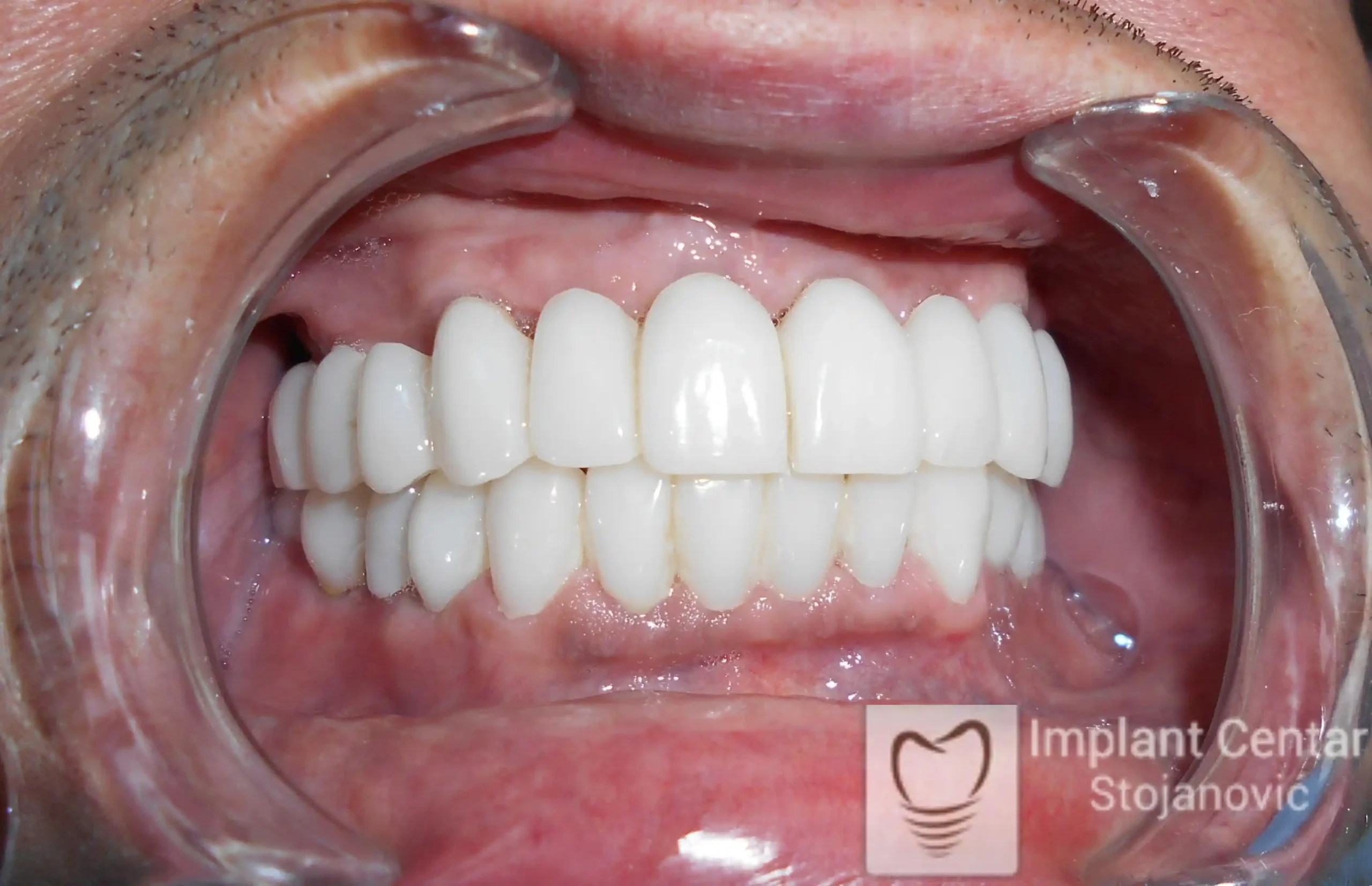
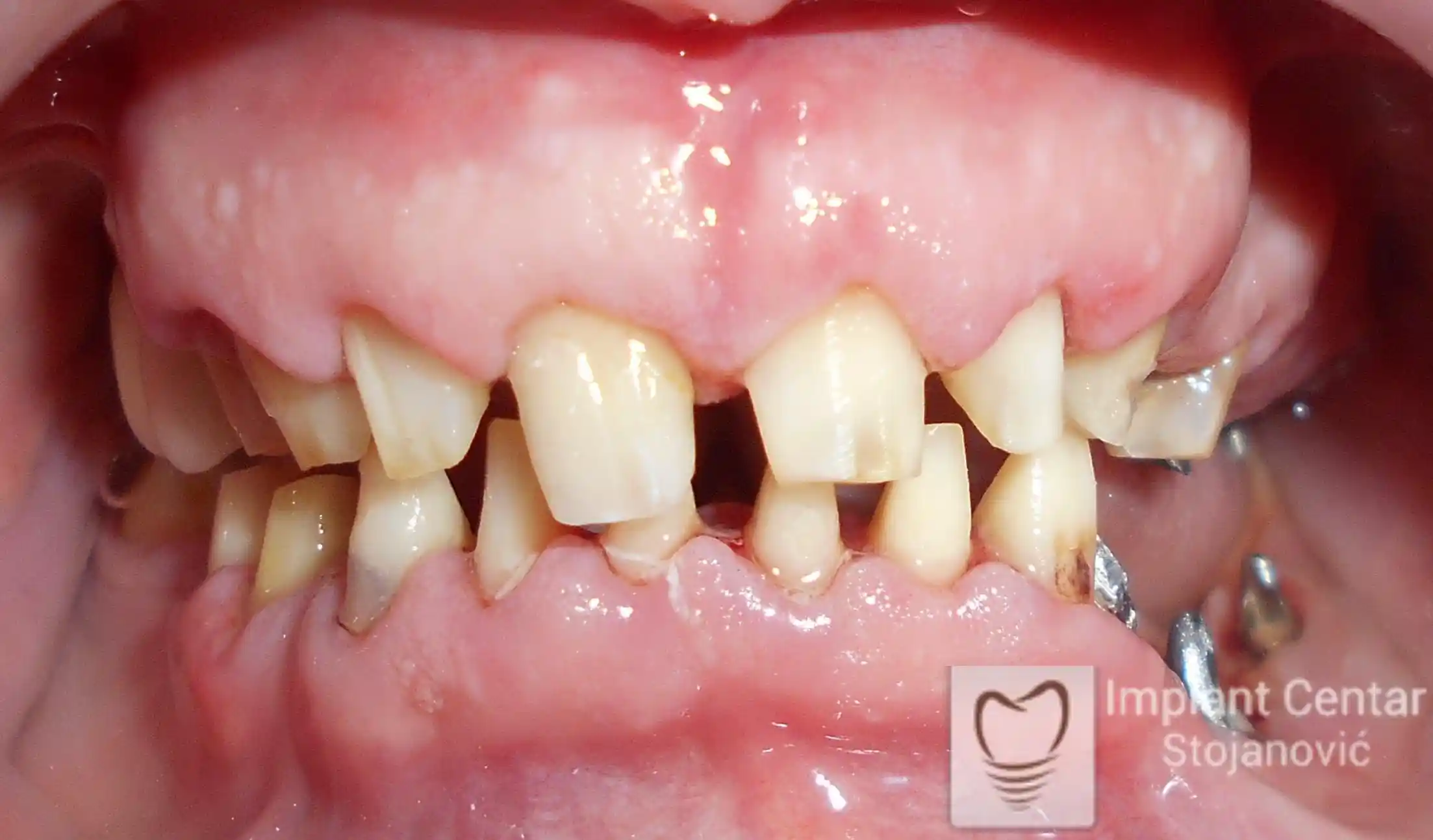
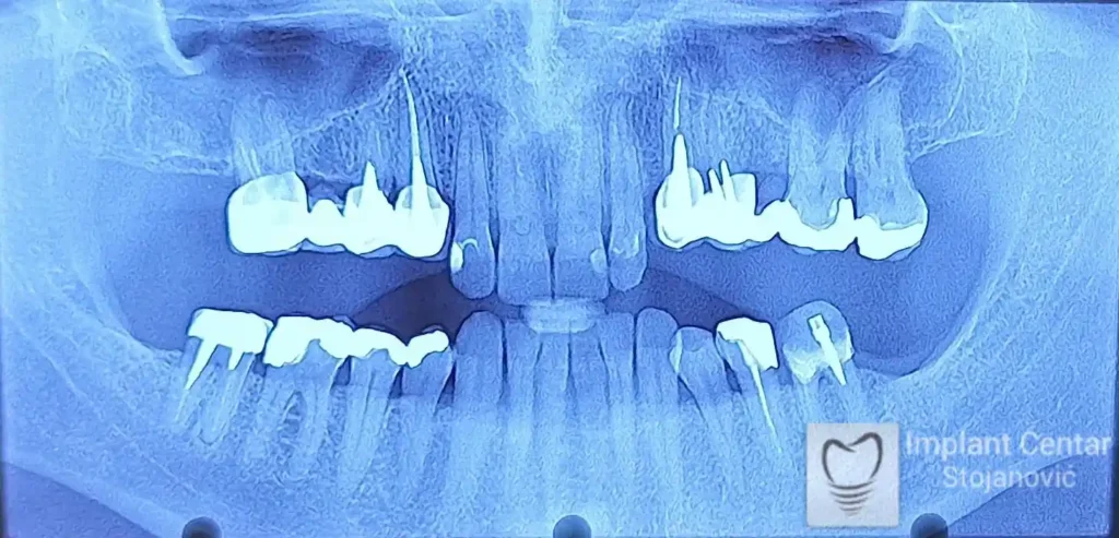
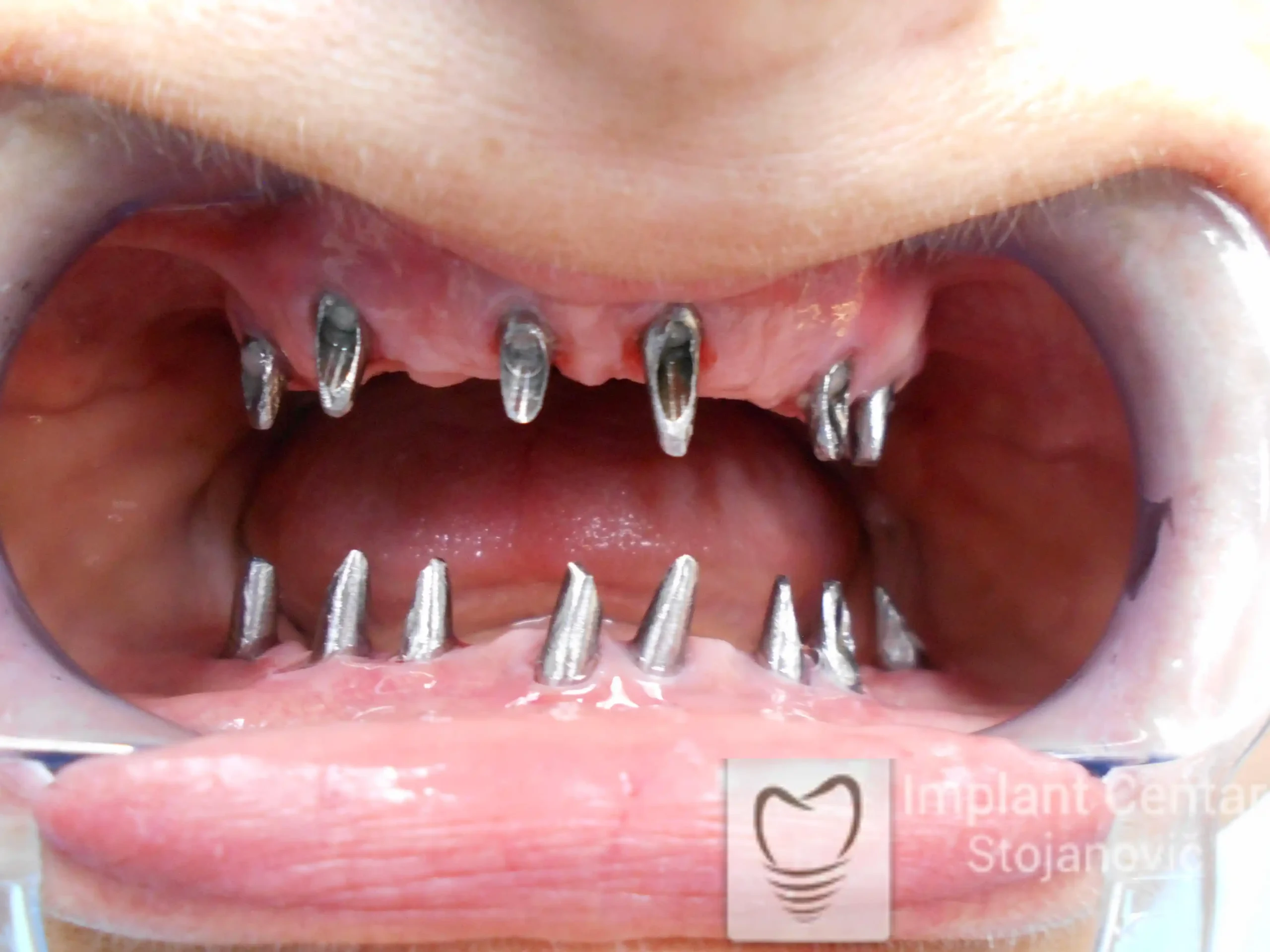
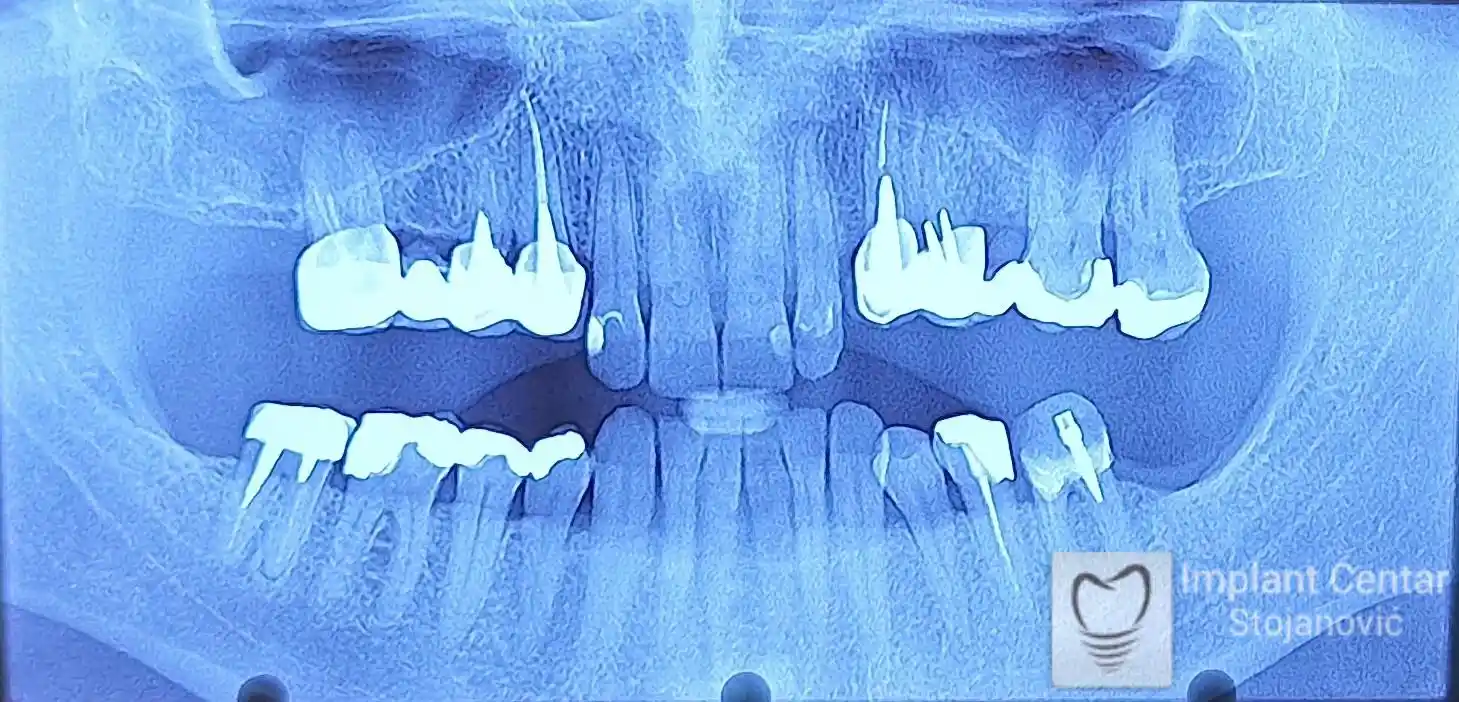
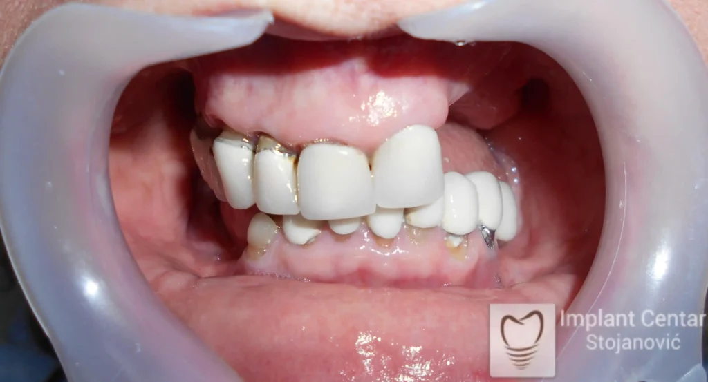
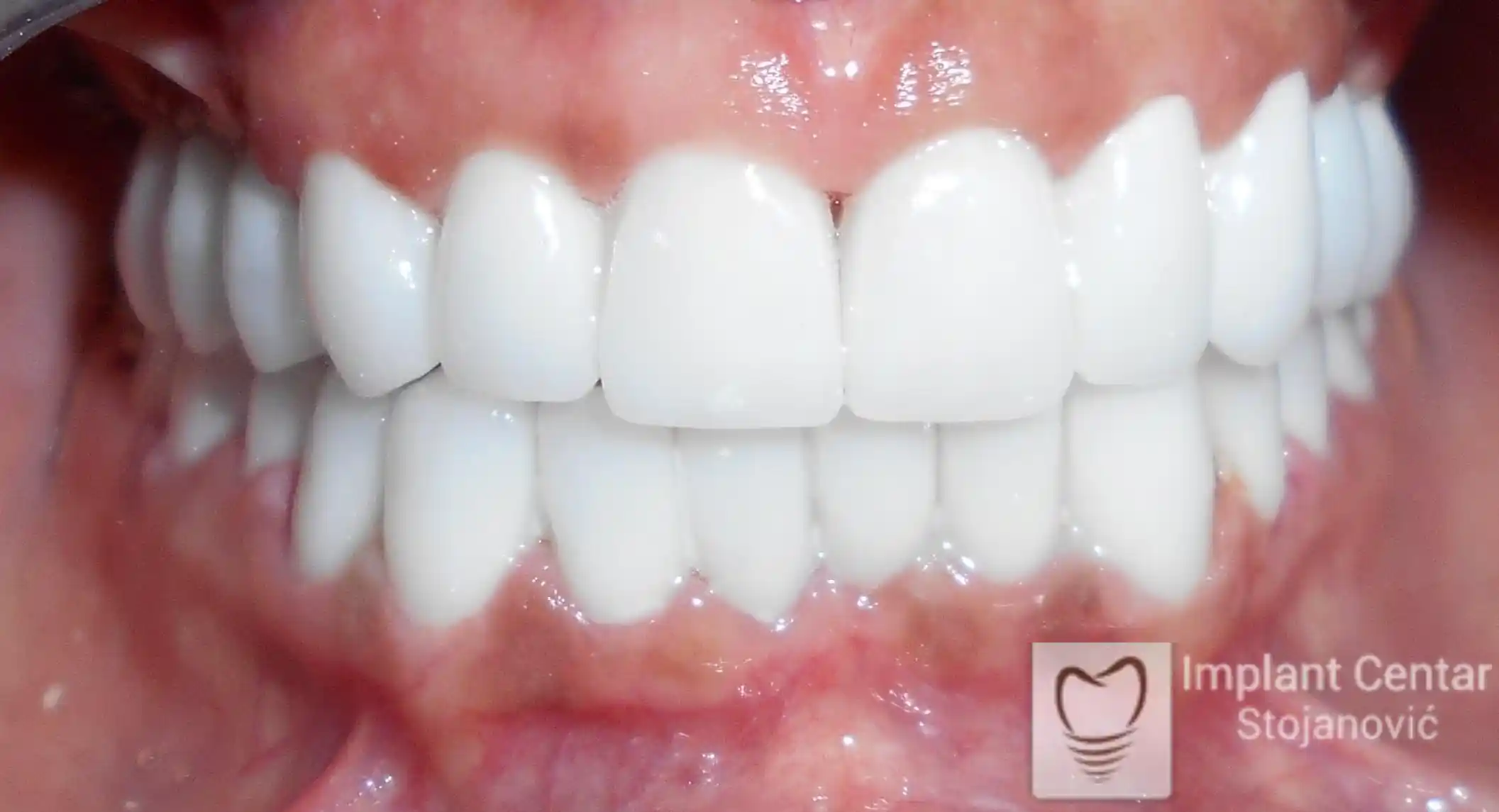
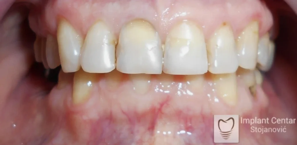
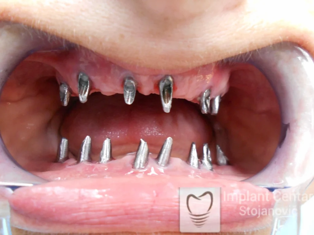
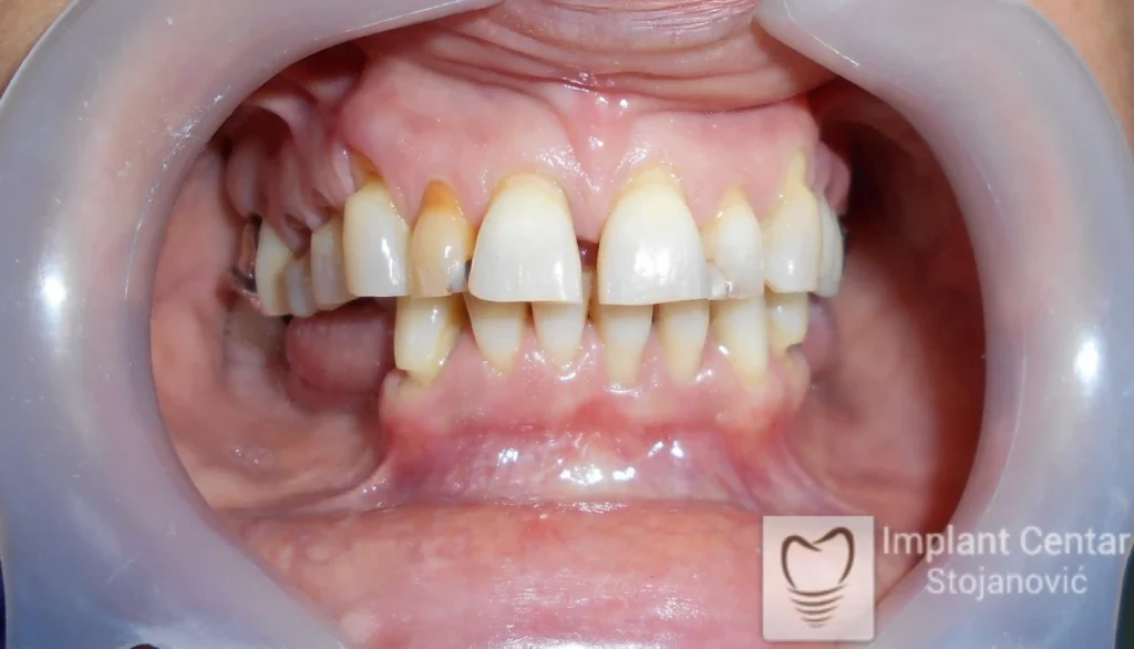
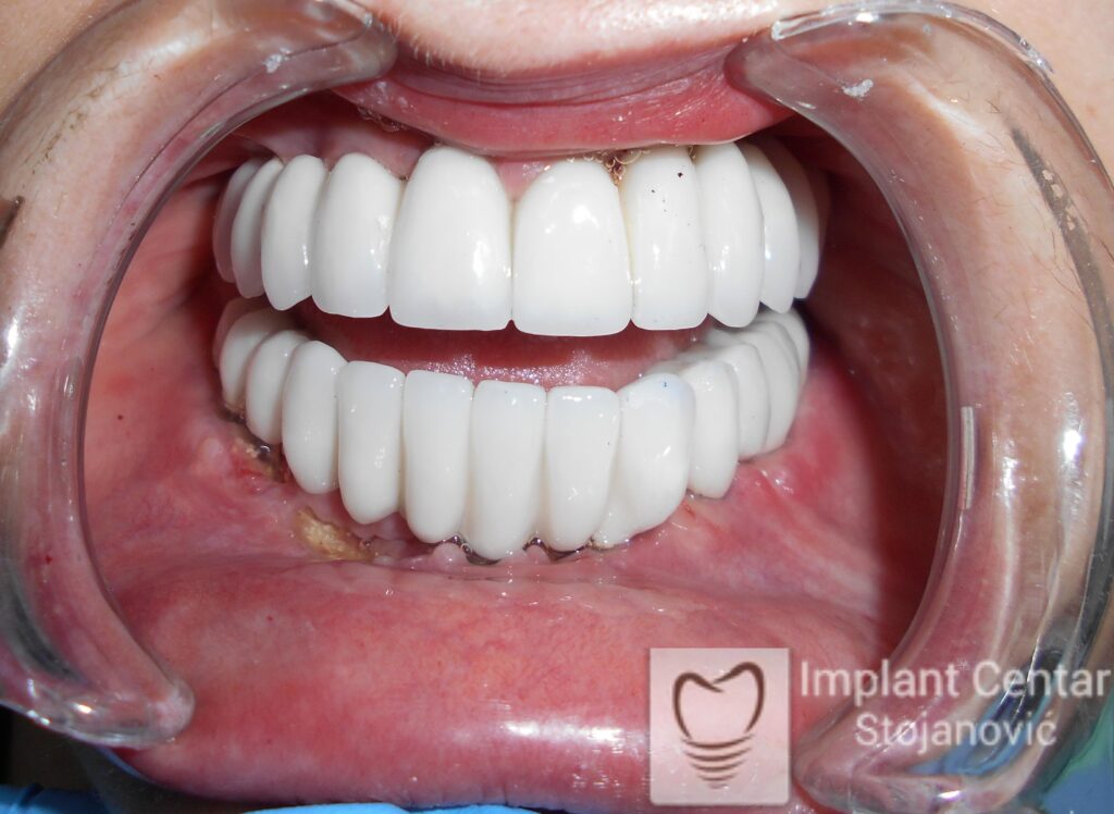
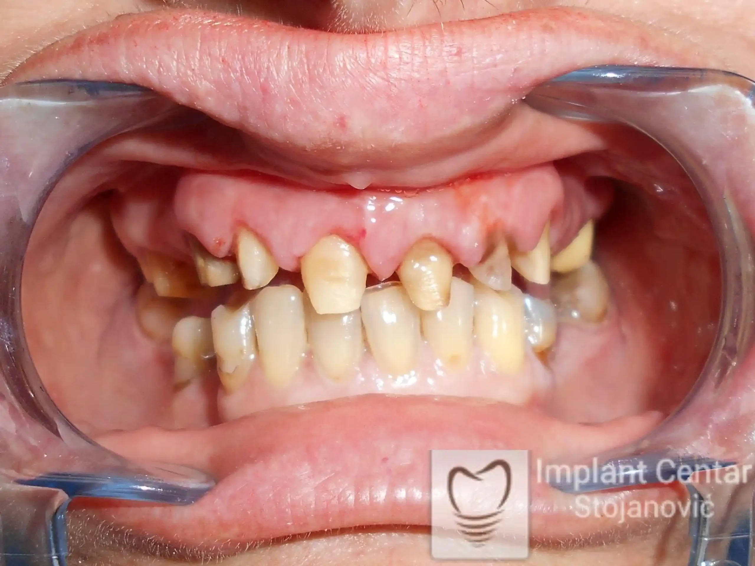
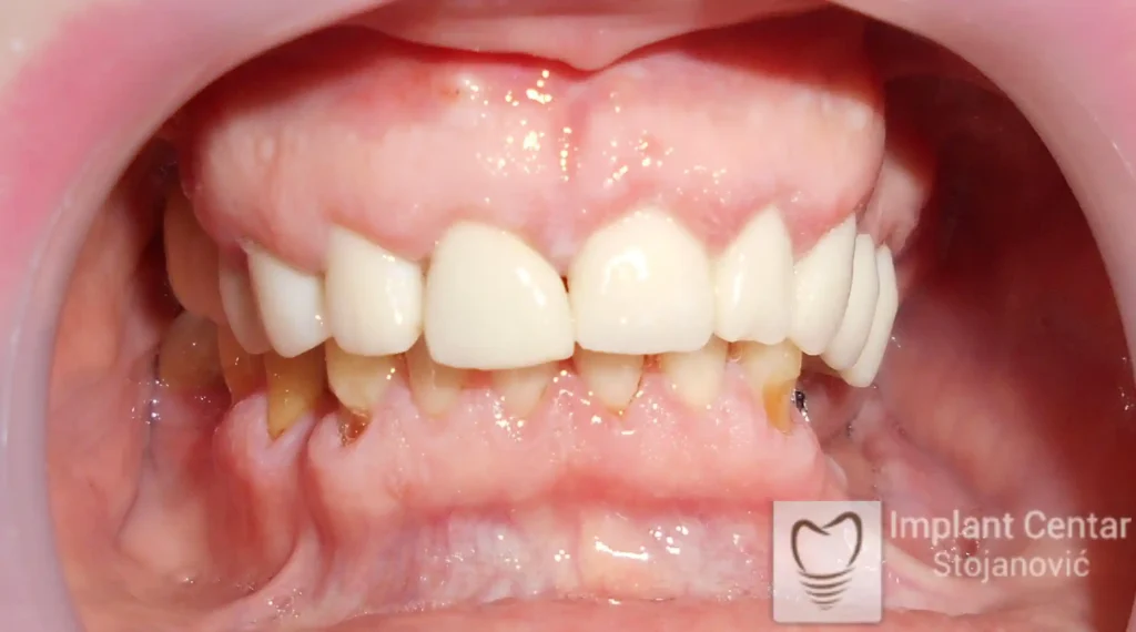
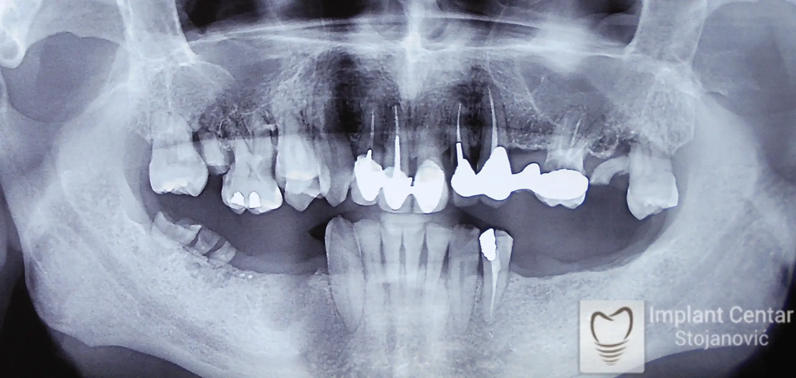
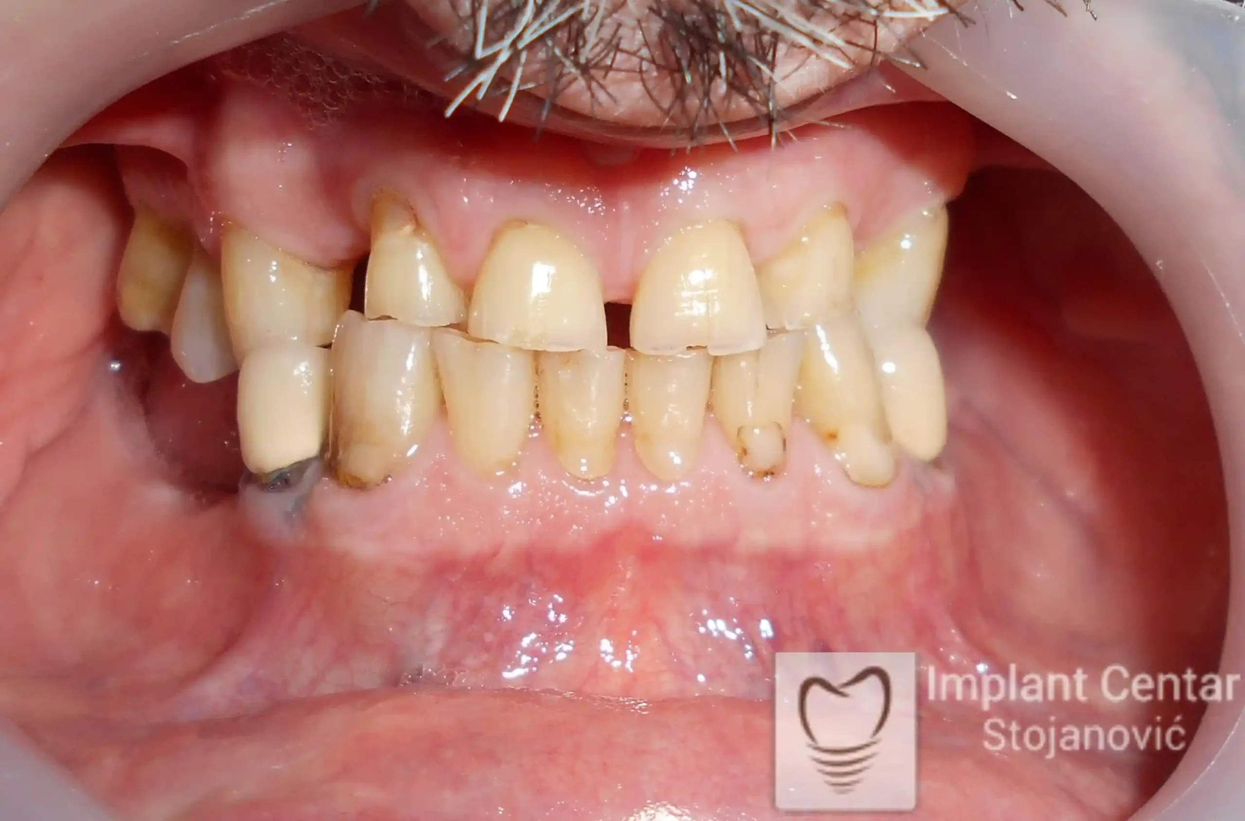
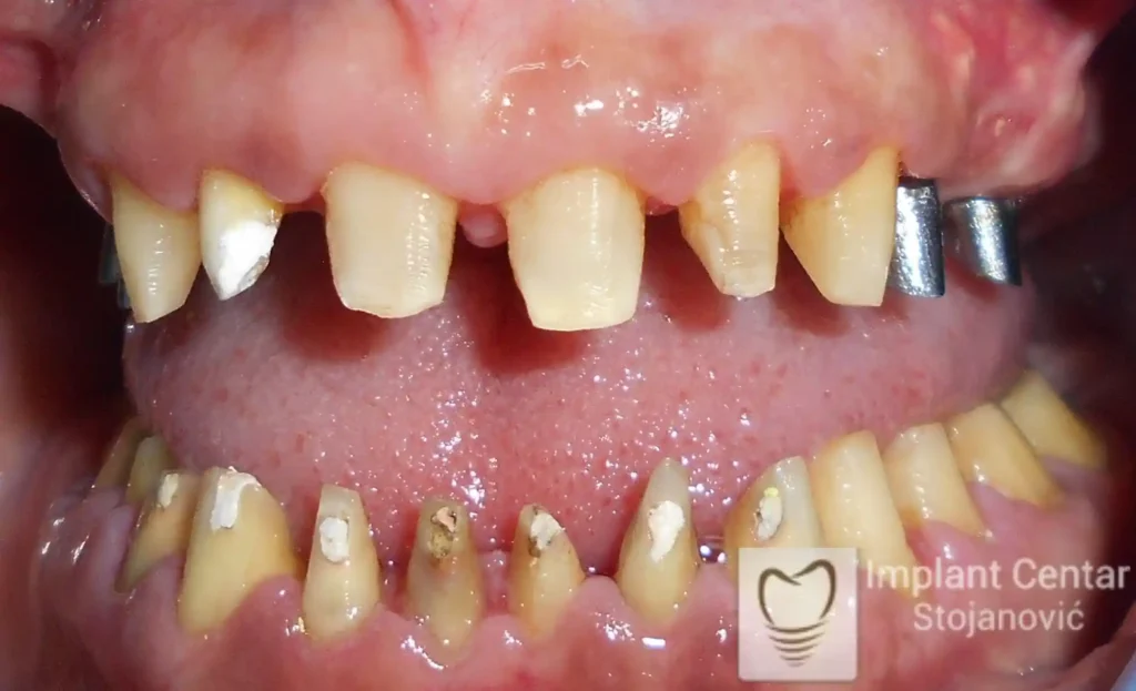
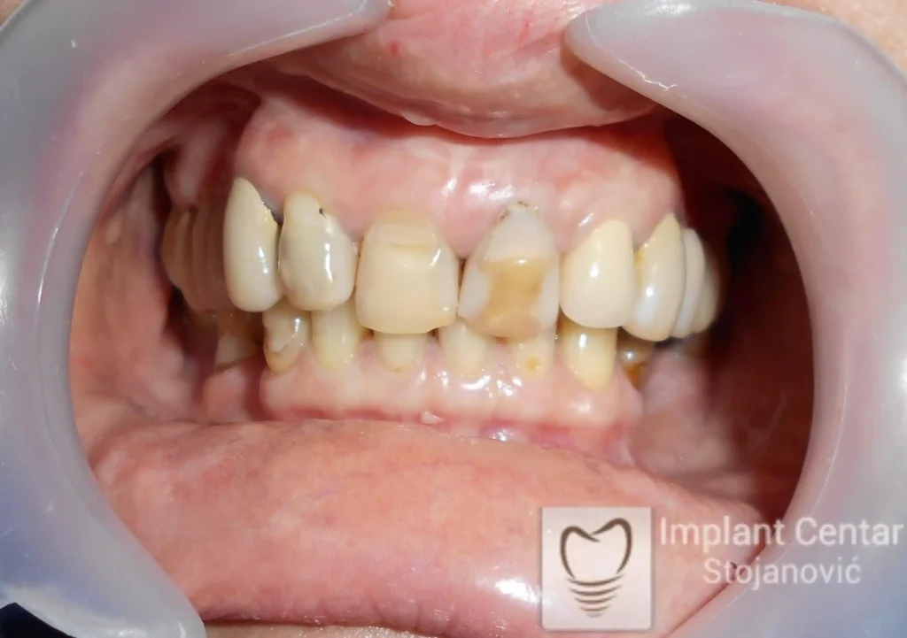
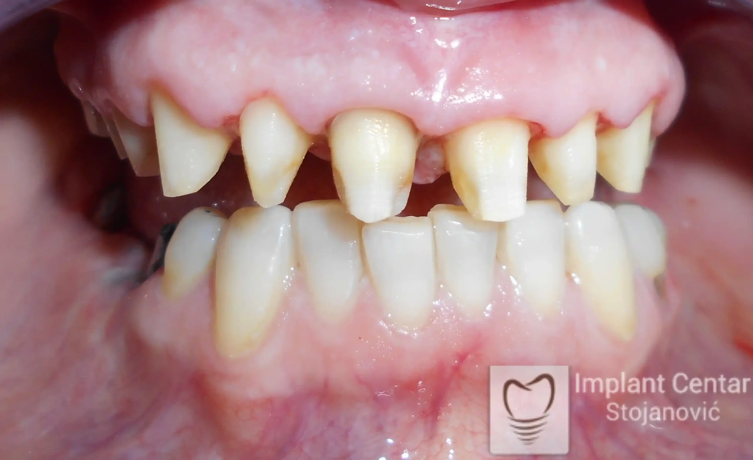
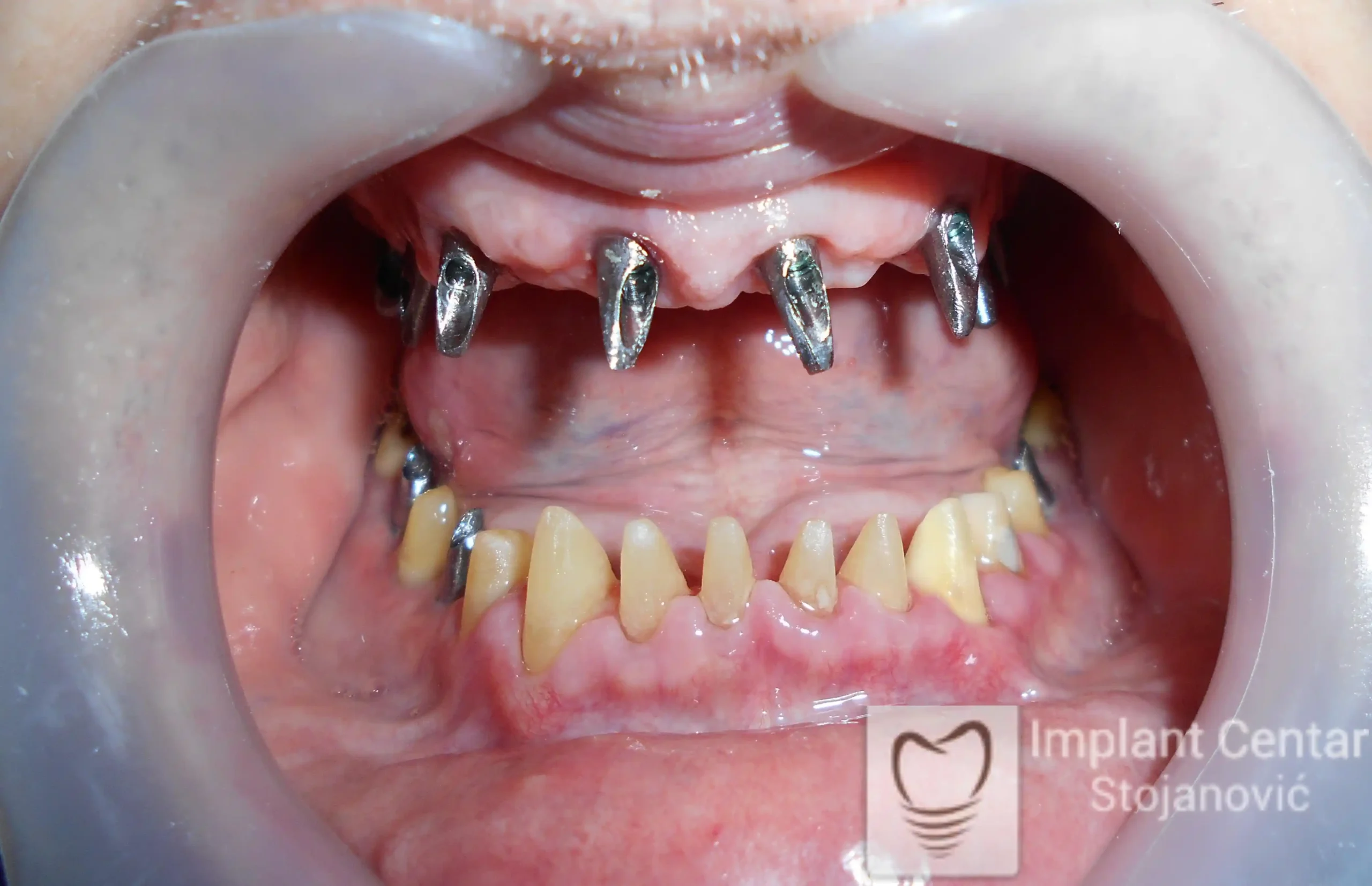
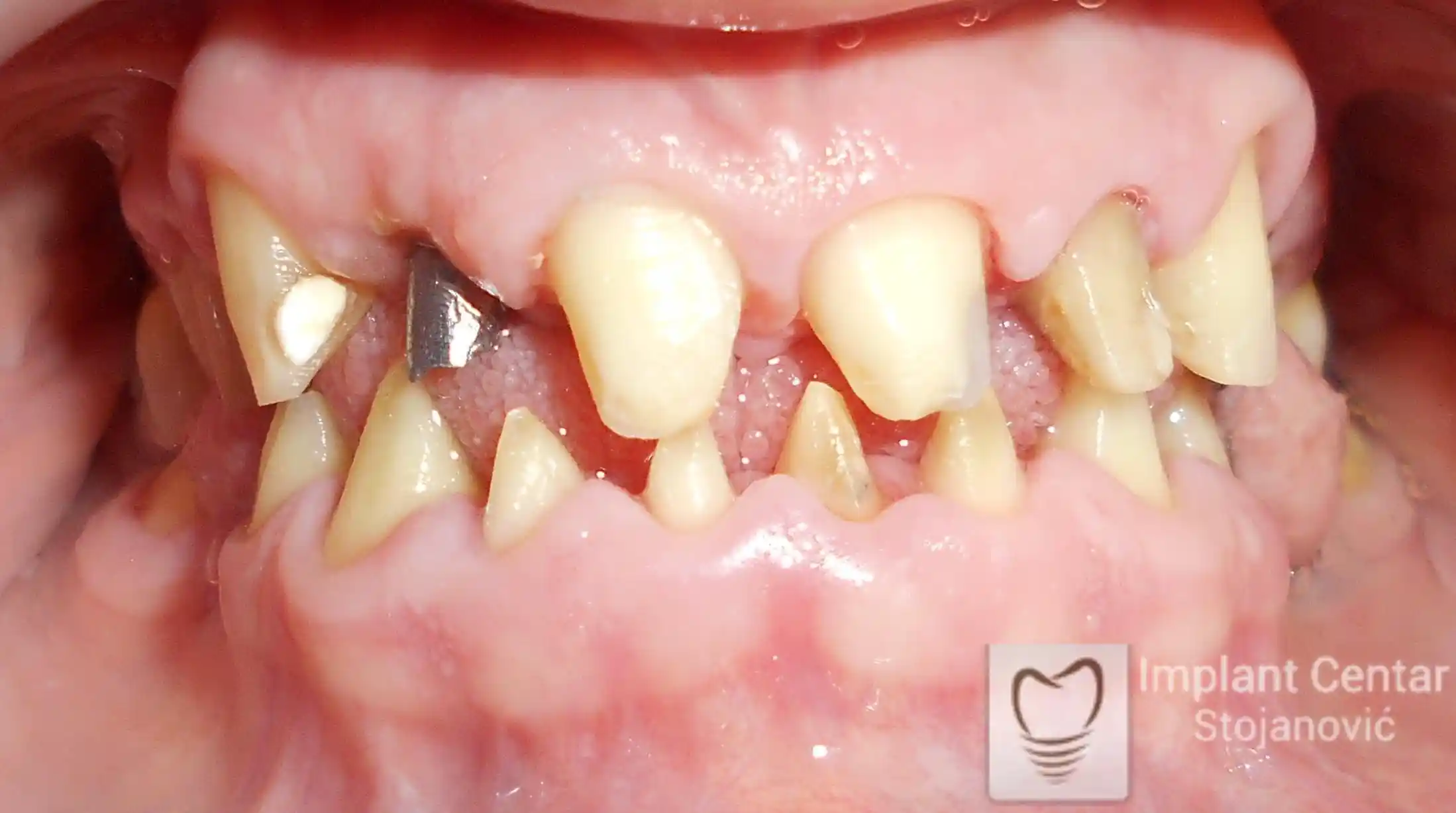
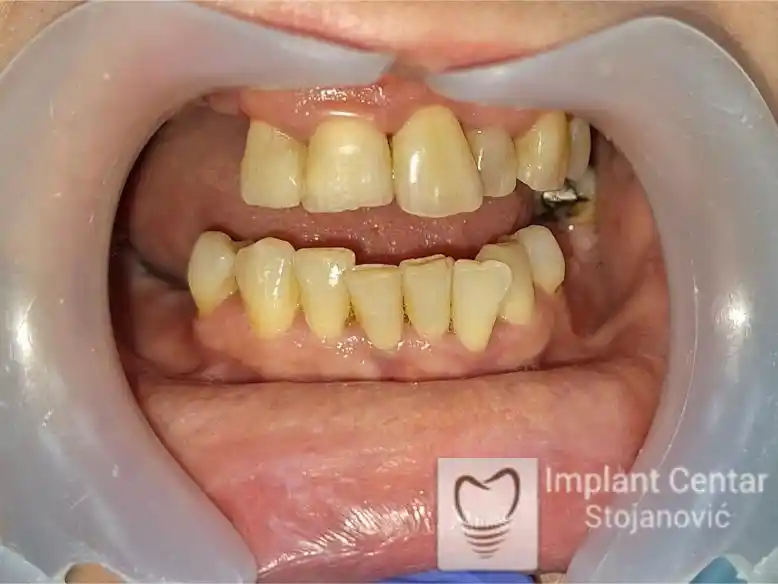
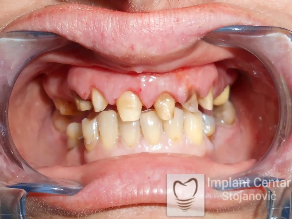
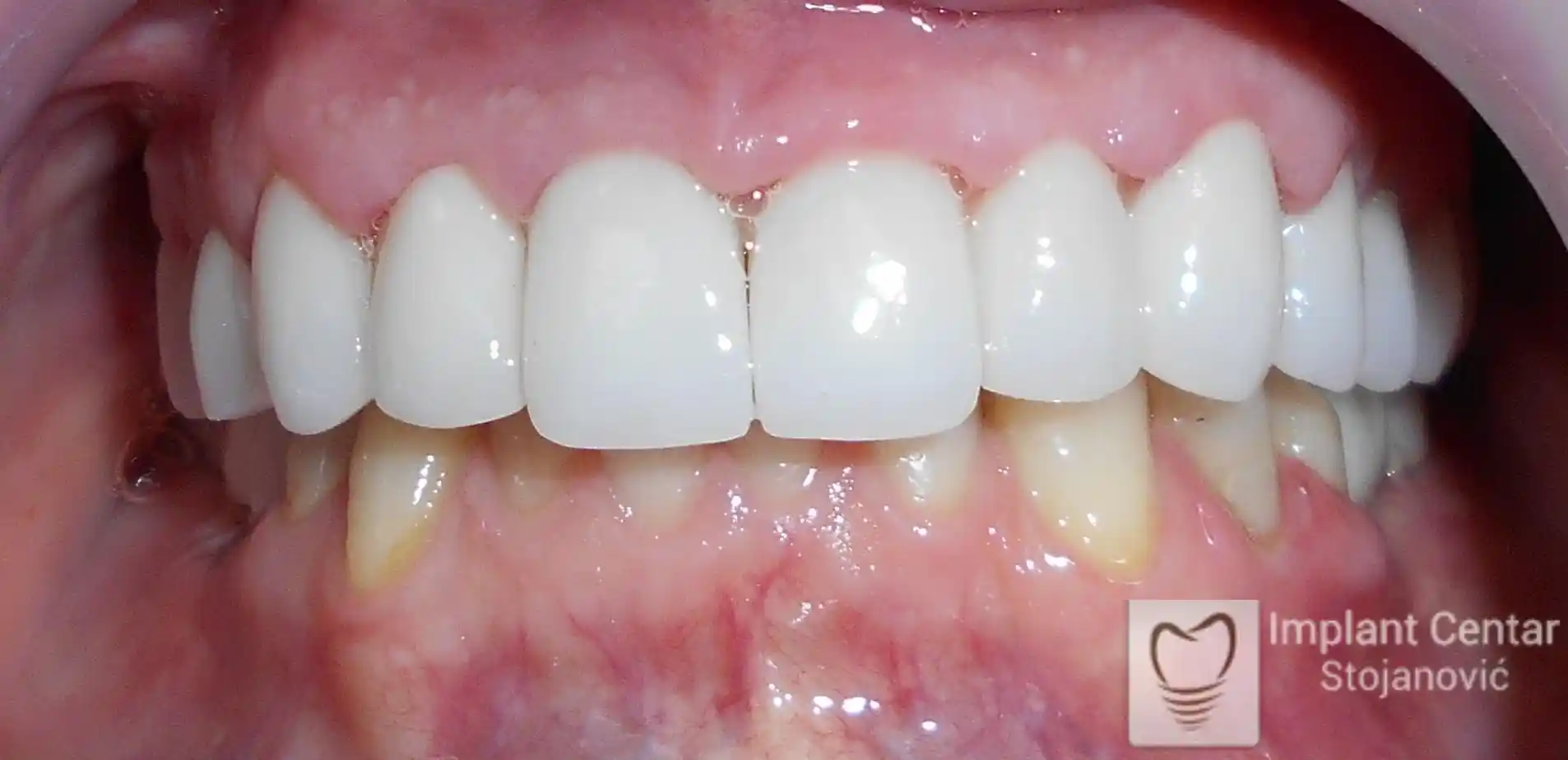
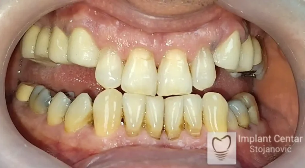
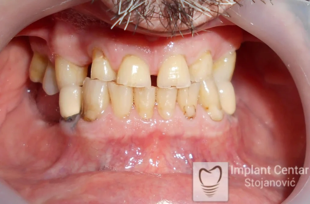
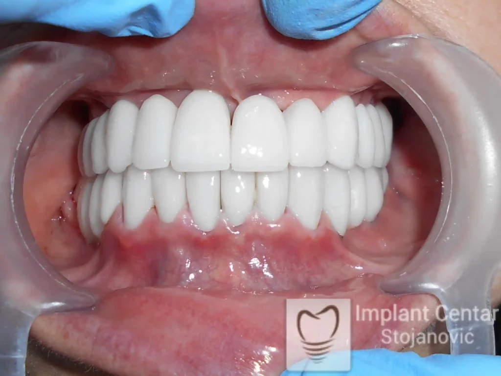
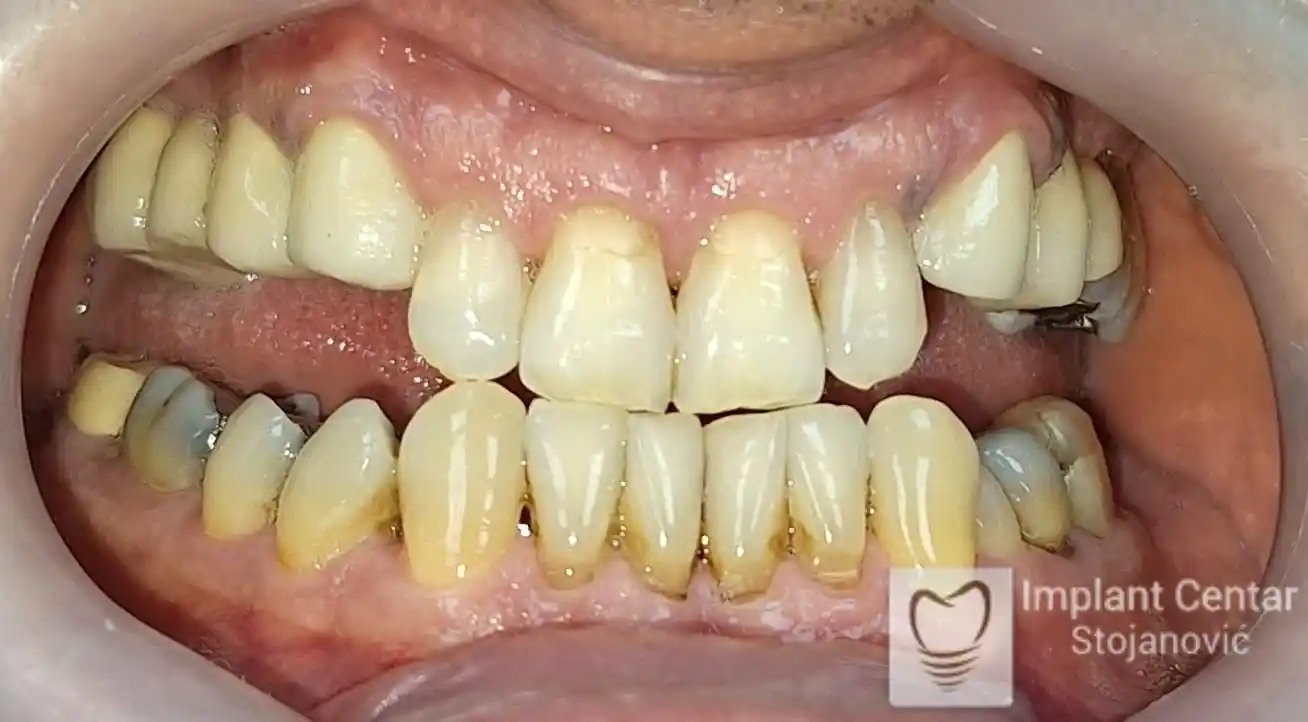
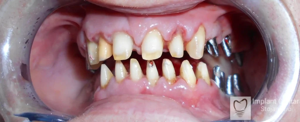
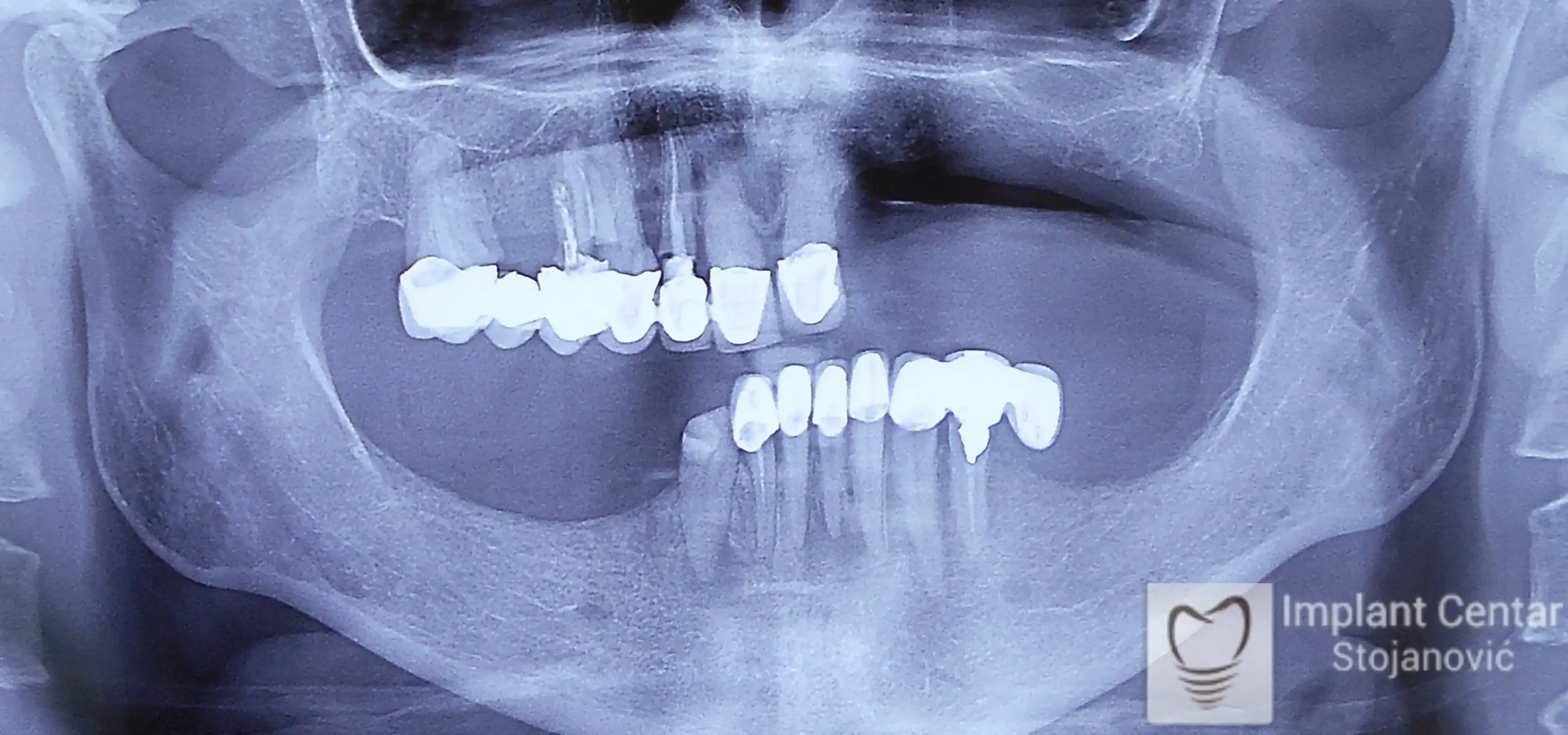
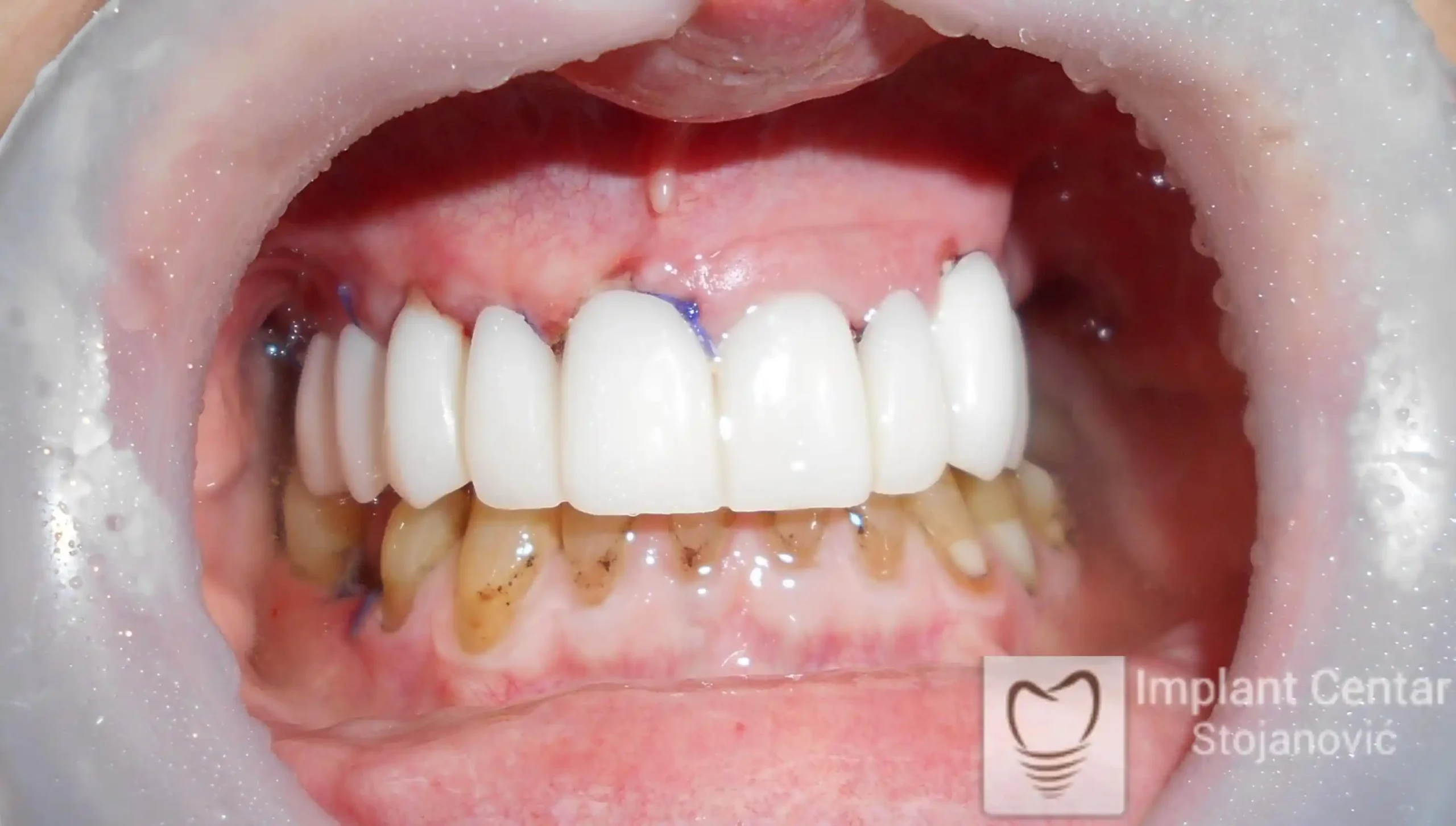
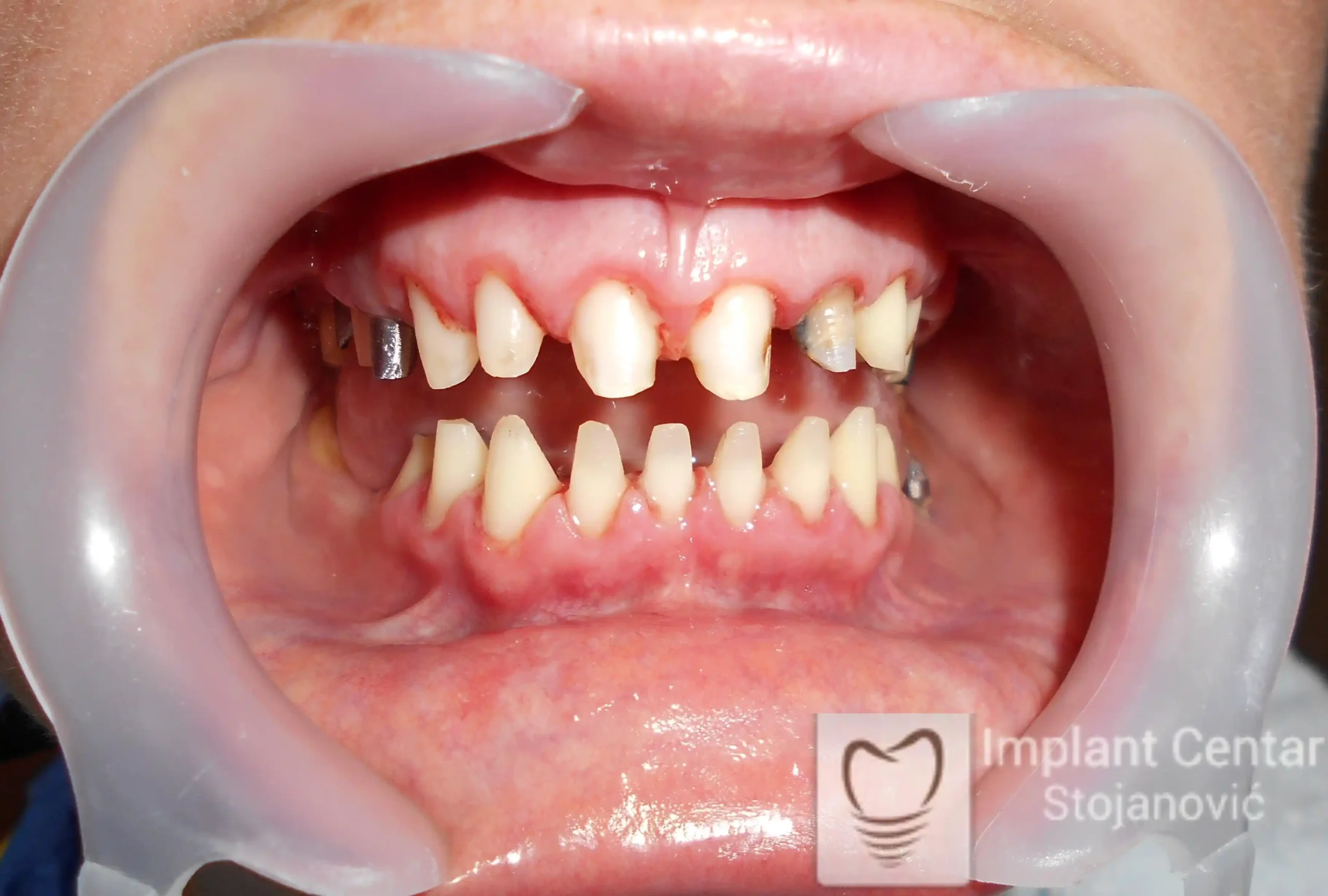
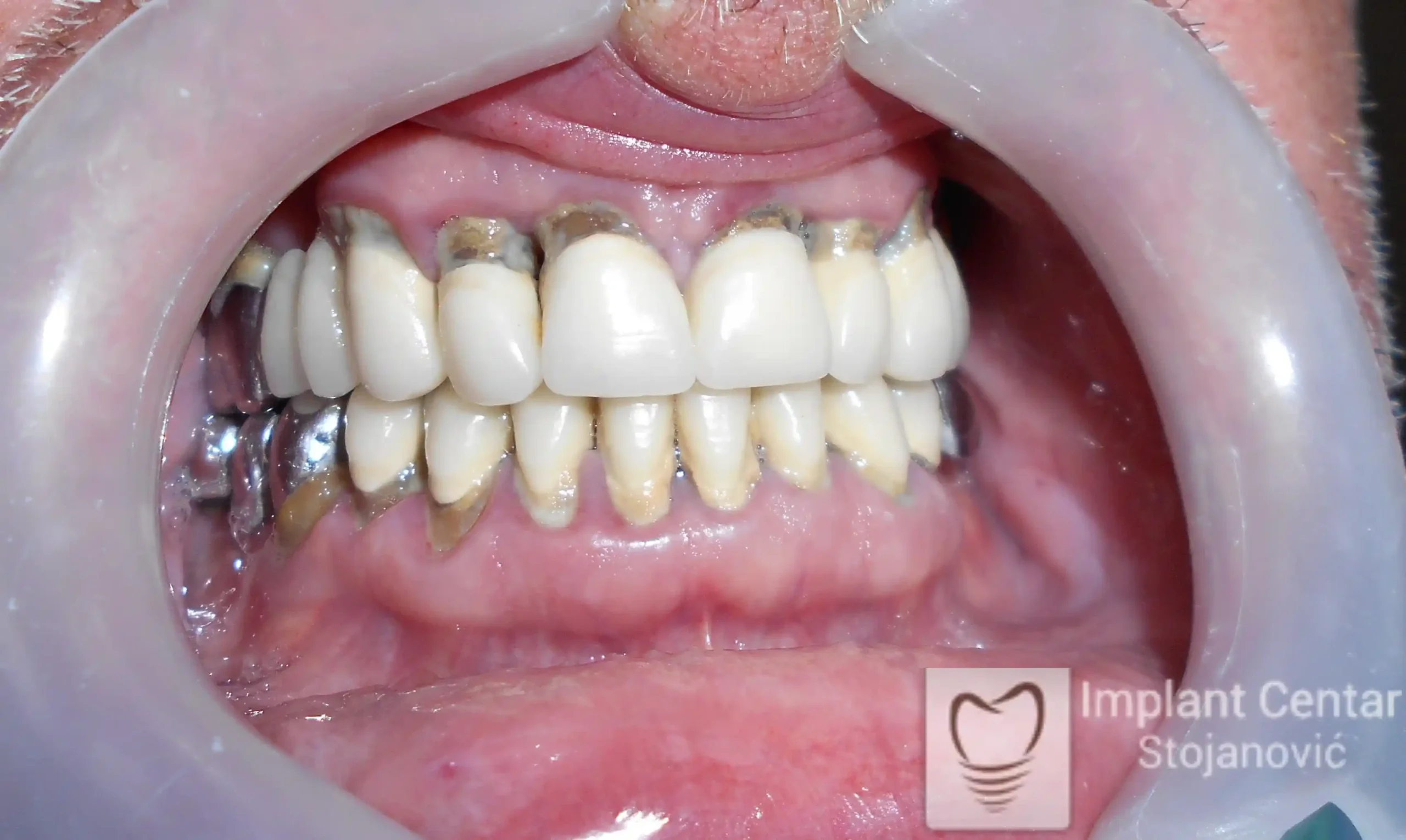
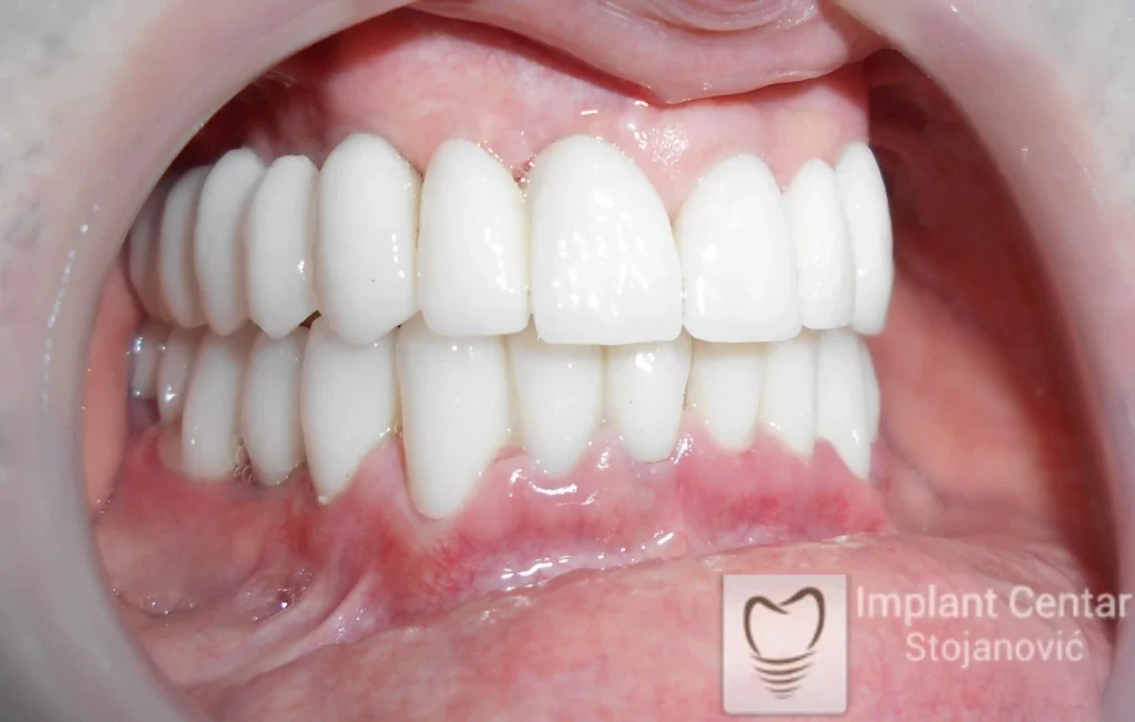
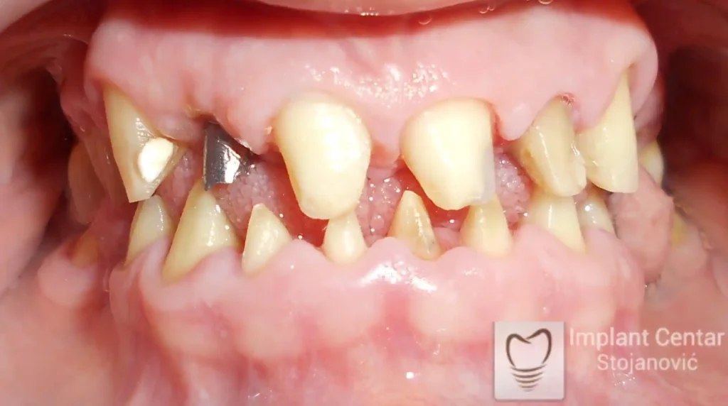
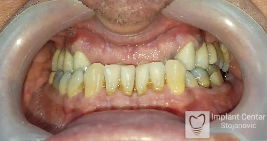
Pacijent 1

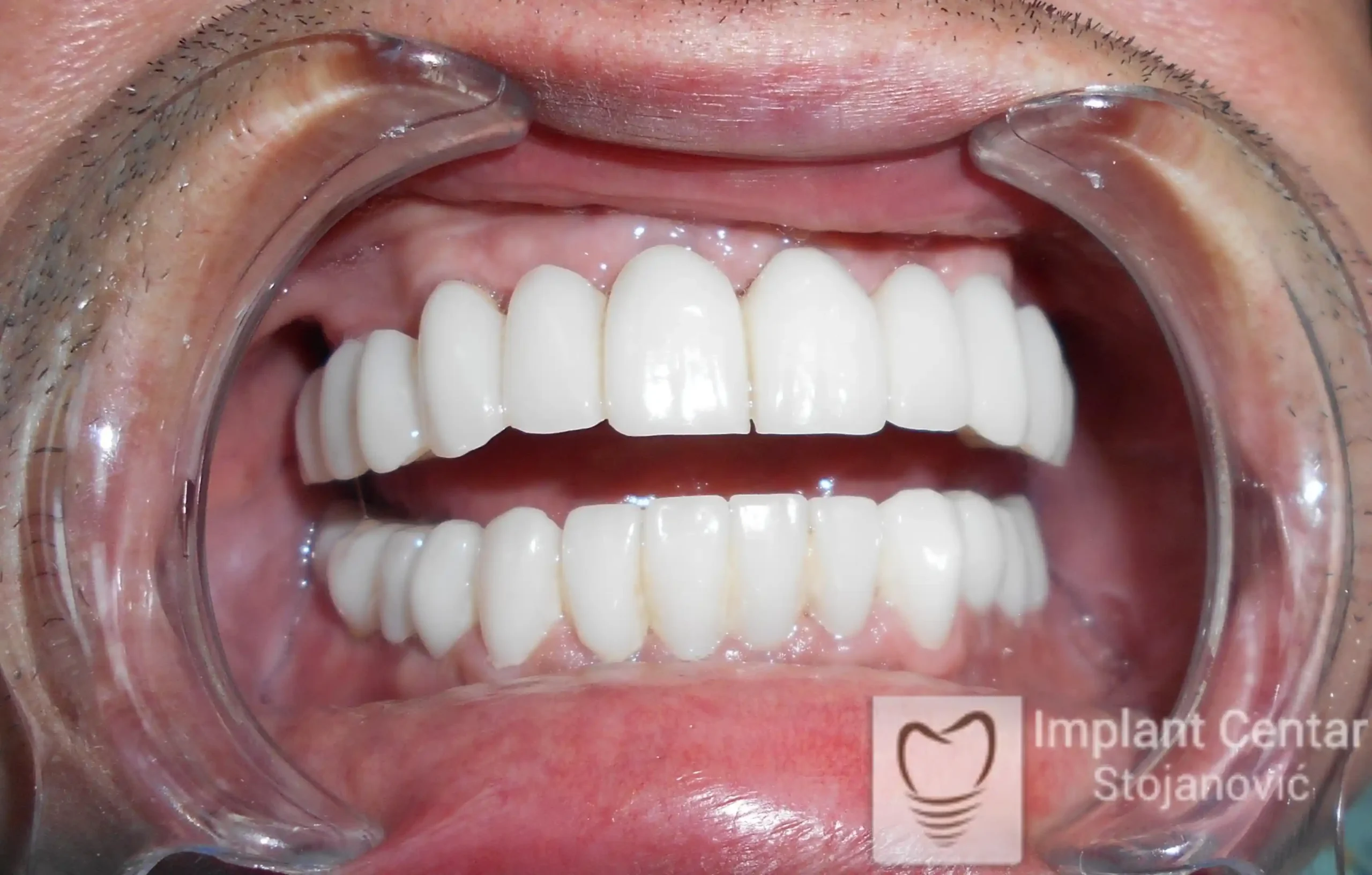
Pacijent iz USA sa ratnom traumom zadobijenom tokom rata u BiH Dum-Dum metkom.

Pacijentu su predlagana razna resenja i kod nas i u inostranstvu, koja pacijent nije zeleo da prihvati jer nije zeleo vise da nosi protezu.

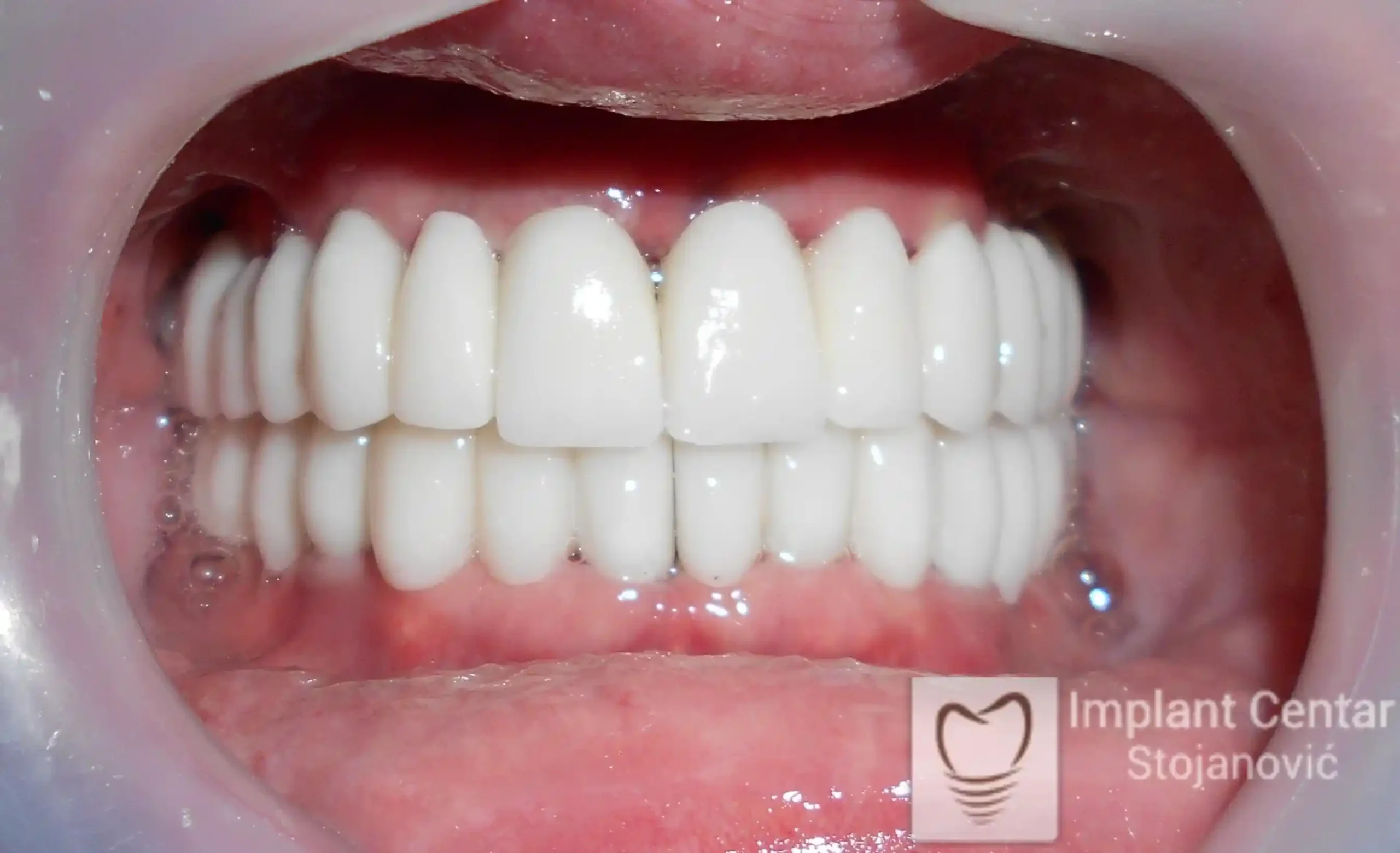
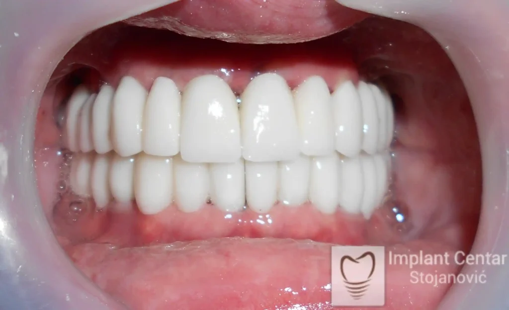
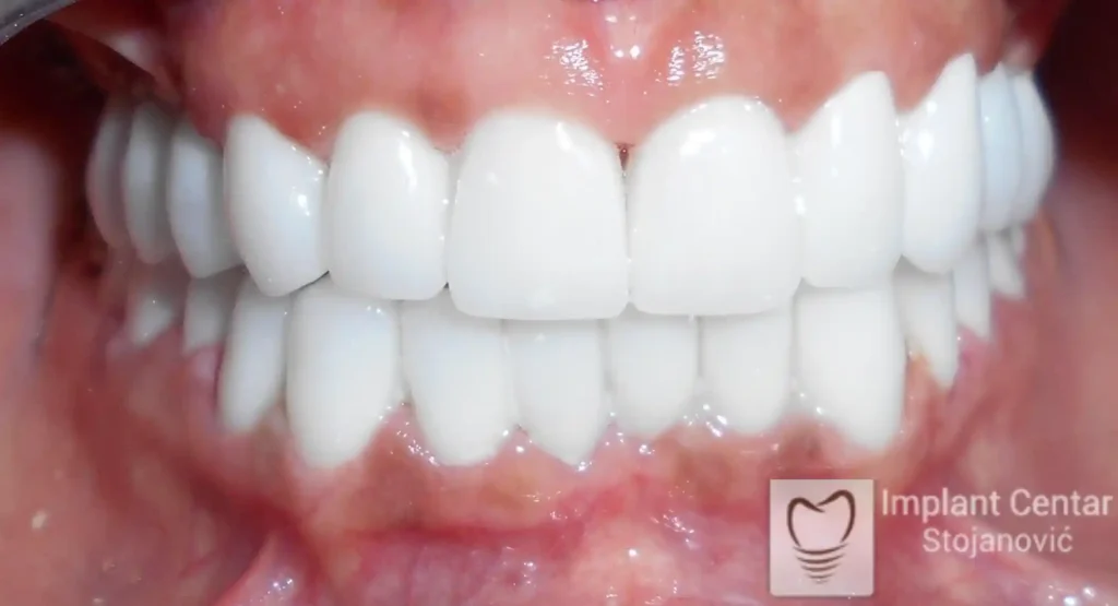
PRISTUPILI SMO RESAVANJU DEFEKTA GORNJE VILICE SA CILJEM MAKSIMALNOG KOMFORA I SIGURNOSTI ZA PACIJENTA UGRADNJOM IMPLANTATA I IZRADOM FIKSNOG METALOKERAMICKOG MOSTA

Kompletan rad, prezentovan na 15.Simpozijumu oralnih hirurga oralnih implantologa u Sava centru 24.11.2018 godine – link sa PowerPoint prezentacije

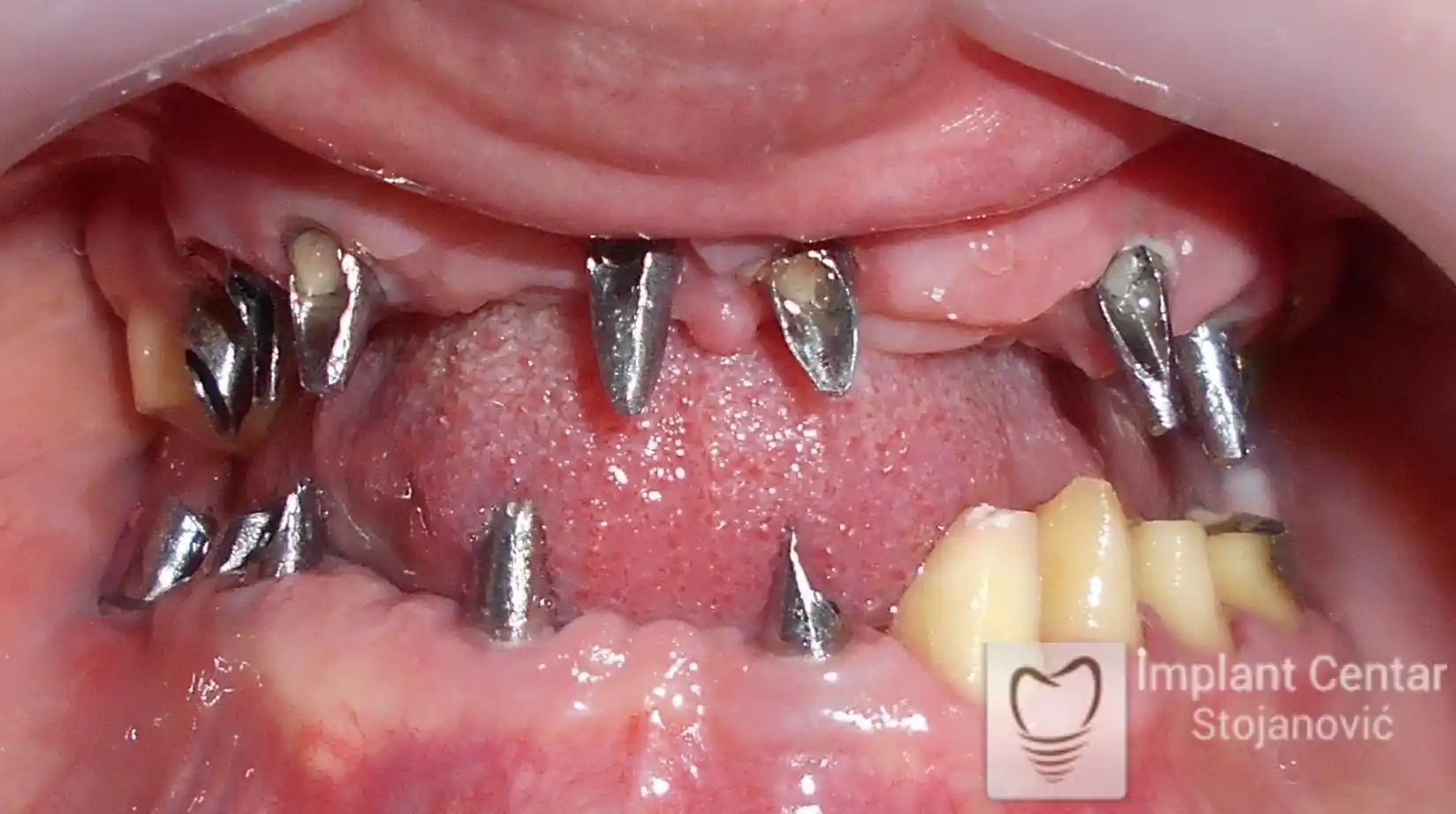
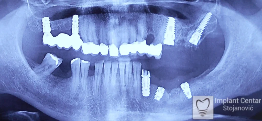
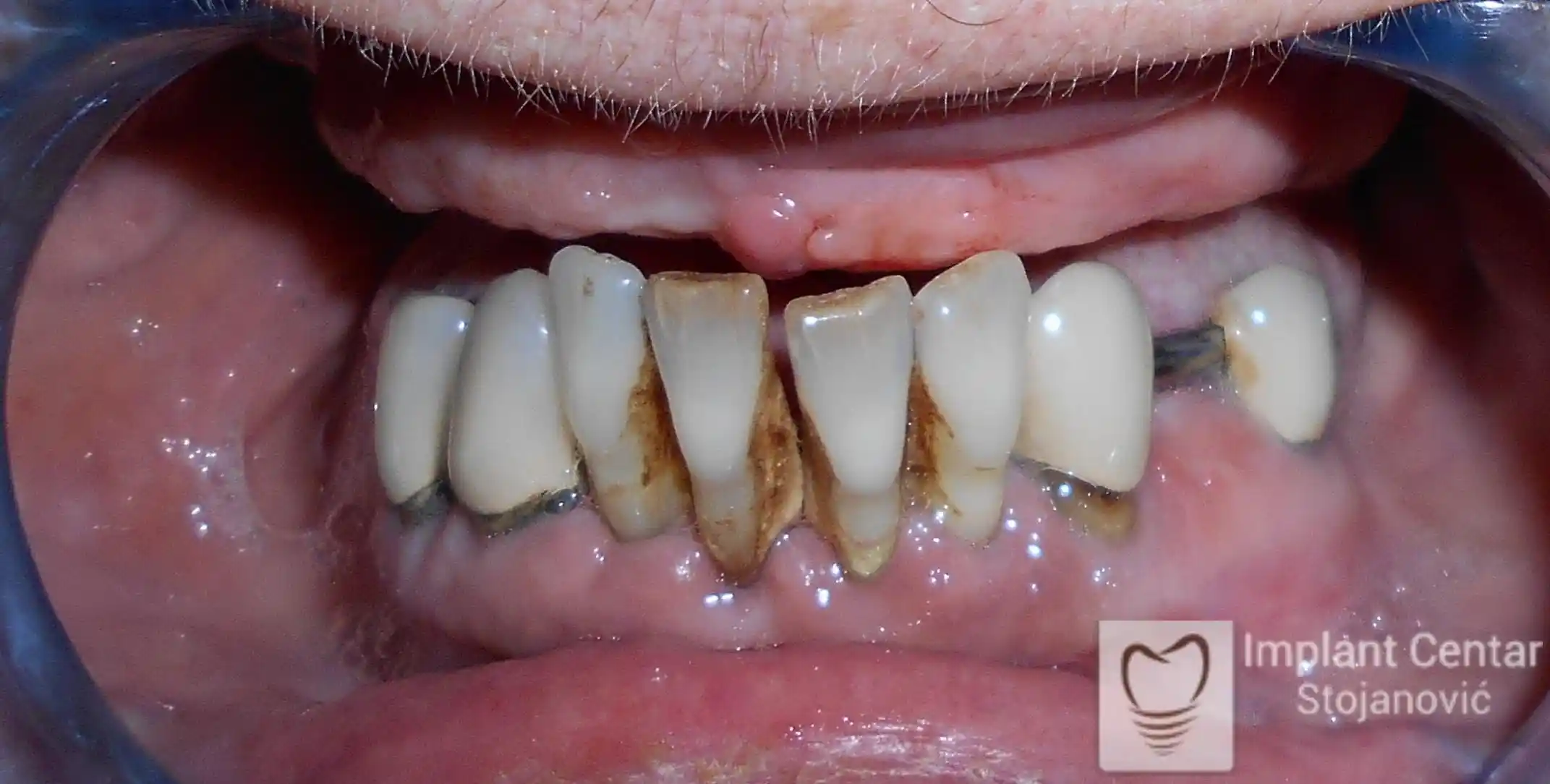
Pacijent 2

Rehabilitacija pacijenta sa rascepom usne, nepca i alveolarnog grebena pomoću fiksnog protetskog rada na implantatima

Pacijent sa rascepom usne, nepca i alveolarnog grebena uspešno je rehabilitovan fiksnim protetskim radom na implantatima. Pre dolaska u našu ordinaciju, pacijent je u gornjoj vilici nosio totalnu protezu preko preostalih zuba, dok je u donjoj vilici bio zbrinut parcijalnom mobilnom protezom. Tokom višegodišnje potrage za adekvatnim rešenjem, pacijent nije uspeo da pronađe zadovoljavajuću terapijsku opciju ni u zemlji ni u inostranstvu.

Nakon detaljnog kliničkog pregleda i analize radioloških snimaka, izrađen je sveobuhvatan plan terapije sa ciljem uklanjanja mobilnih proteza i postizanja maksimalne funkcionalne i estetske rehabilitacije. Zbog loše biološke vrednosti preostalih zuba, doneta je odluka o njihovom vađenju i ugradnji dentalnih implantata.

Poseban terapijski izazov predstavljalo je premošćavanje defekta nastalog usled rascepa, kao i ograničena količina raspoložive kosti u gornjoj vilici. Primenom većeg broja implantata i odgovarajućih procedura nadoknade kosti, postignuta je stabilna osnova za fiksni protetski rad.

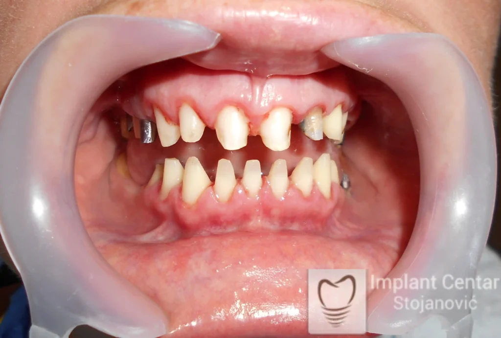
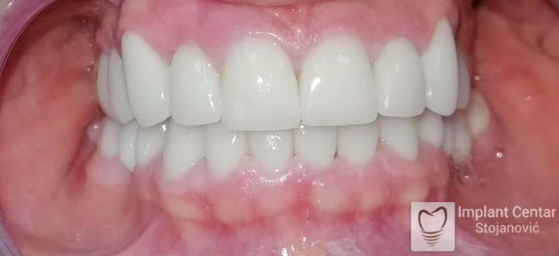
Tokom perioda oseointegracije, pacijent je bio zbrinut fiksnim privremenim krunicama, čime je već pet dana nakon intervencije obezbeđena potpuna funkcionalna i estetska rehabilitacija. Nakon završetka perioda integracije implantata, izrađeni su definitivni cirkonijum-keramički mostovi na implantatima.

Pacijent je izuzetno zadovoljan postignutim rezultatom, navodeći da po prvi put jasno oseća svoje nepce tokom žvakanja, kao i da se smeje sa punim samopouzdanjem.

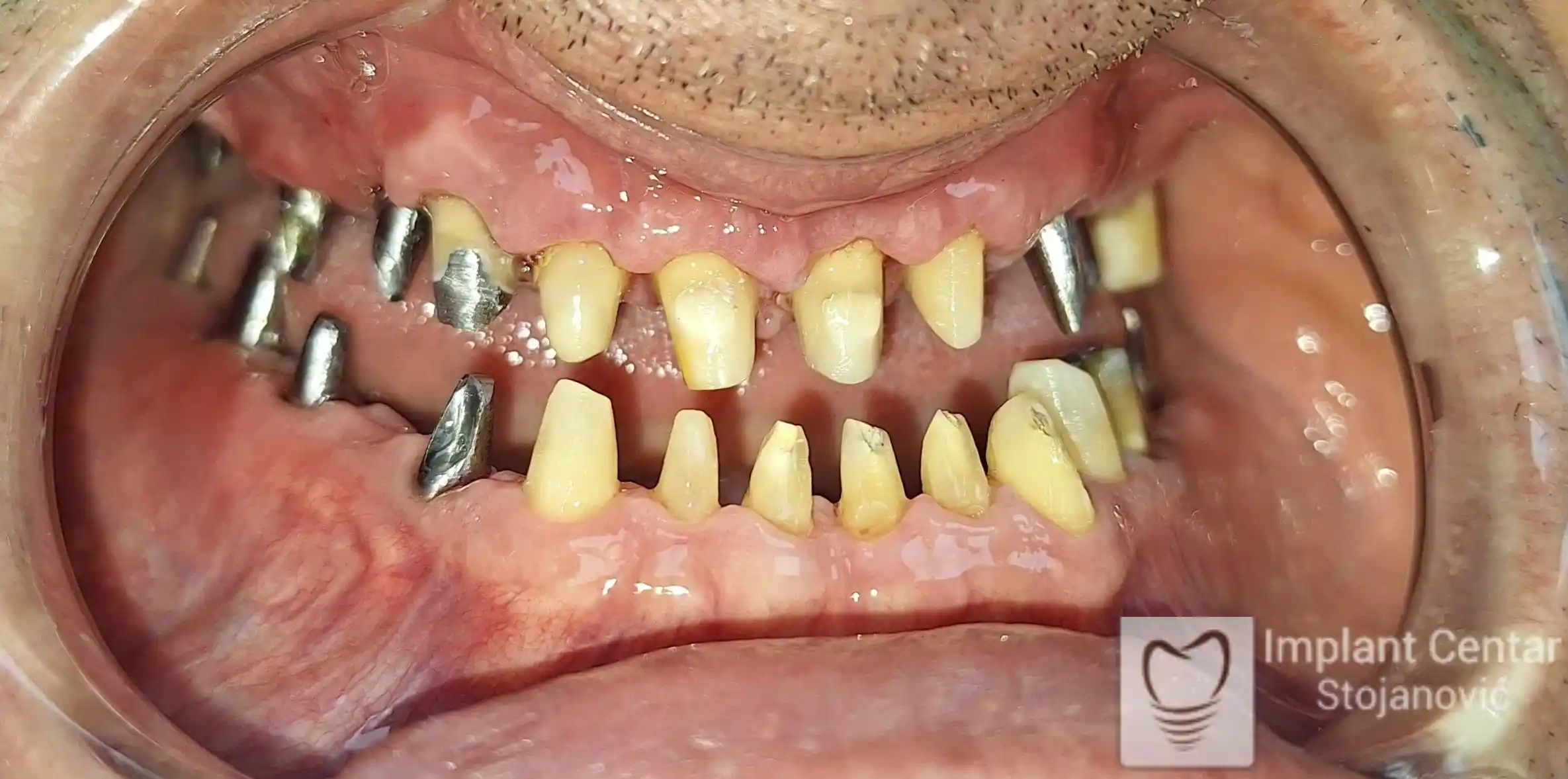
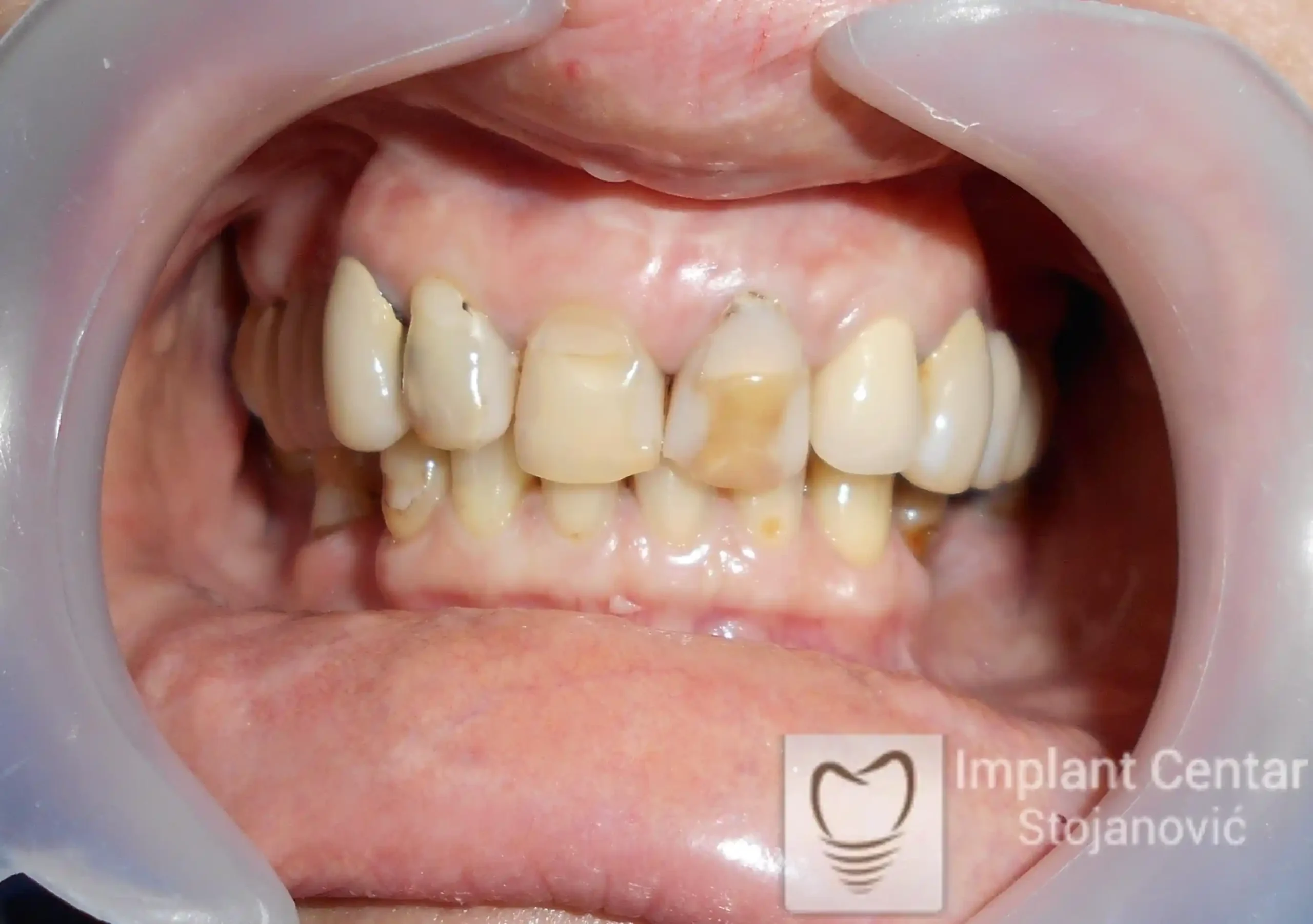
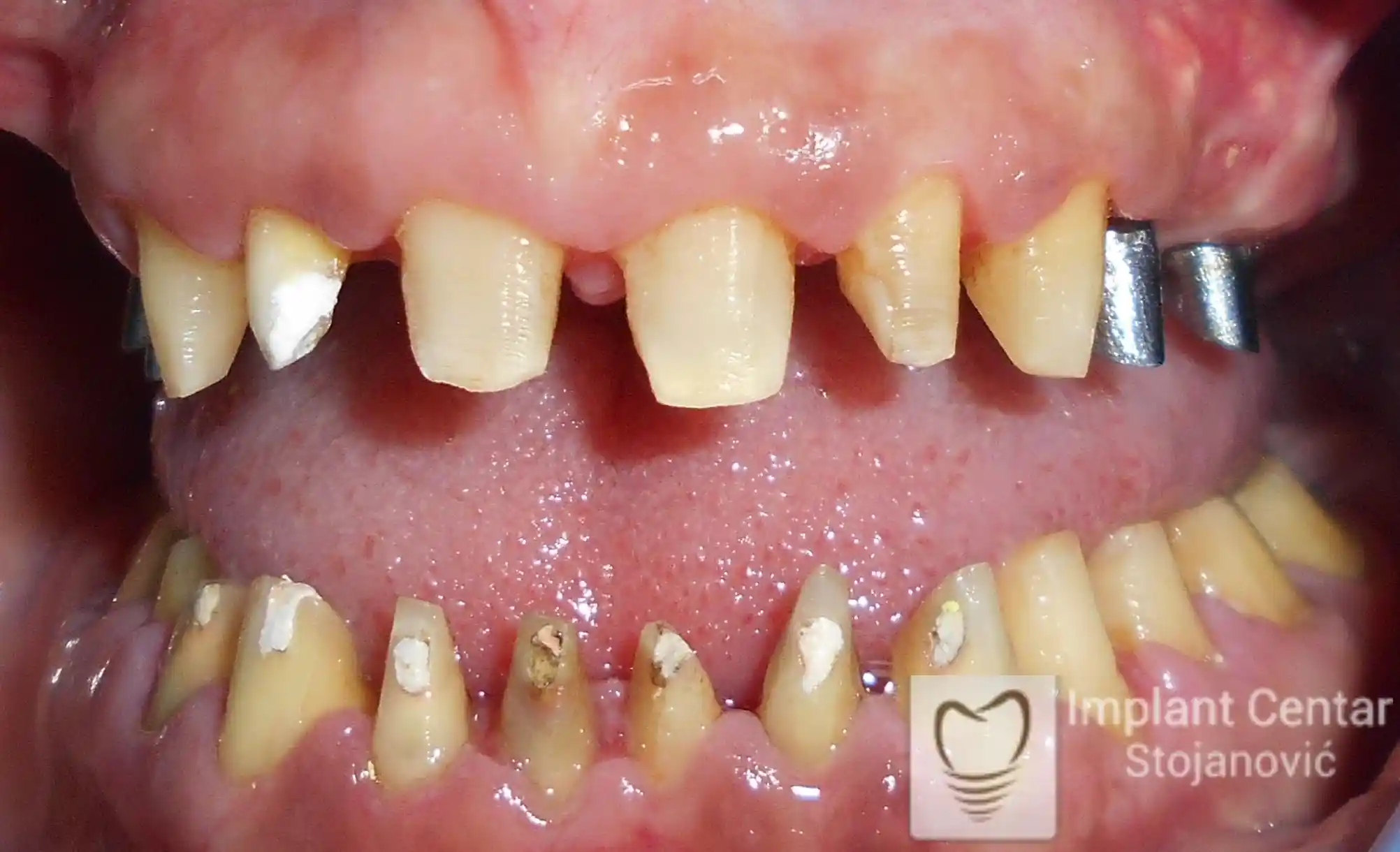
Pacijent 3

Rešavanje prinudne progenije

Na slikama 1, 2, 3 , 4  i  5 prikazan je izgled pacijenta pre početka terapije. Nakon detaljne kliničke i radiološke analize, doneta je odluka o vađenju zuba loše biološke vrednosti, dok su bezuba polja sanirana ugradnjom dentalnih implantata.

Nakon ugradnje implantata i pripreme preostalih zuba, pacijentu su izrađene fiksne privremene krunice, čime je postignut eugnatan zagriz već nakon jednog dana (slika 8, 9 i 10). Tokom perioda osteointegracije, pacijent se postepeno privikavao na novi položaj vilica i zagriz.

Po završetku perioda integracije, izrađeni su definitivni cirkonijum-keramički mostovi, čime je postignuta potpuna rekonstrukcija zagriza, kao i značajno poboljšanje estetike i oralne funkcije (slika 12, 13, 14 i 15).
Pacijent je izrazito zadovoljan postignutim rezultatom, kako funkcionalno, tako i estetski, uz značajno poboljšanje kvaliteta svakodnevnog života.

Pre Posle 2

Pacijent 4

Rešavanje prave progenije pomoću implantata

U ovom slučaju prikazujemo potpunu transformaciju osmeha pacijenta koji je imao obrnut zagriz koji smo rešili trajno i funkcionalno pomoću implantata.

Na slici 1. slici 2. vidi se početno stanje — pacijent je imao prirodne zube, ali samo izradom novih mostova nije bilo moguće postići normalan odnos gornjih i donjih zuba (eugnatan zagrižaj).

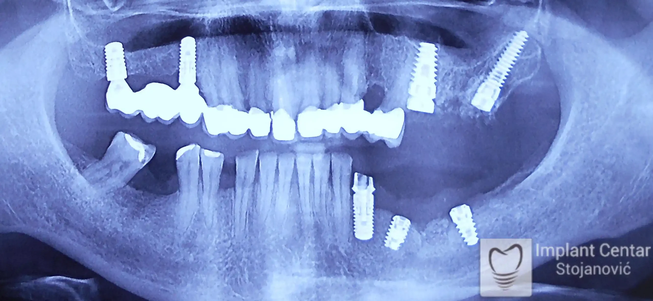
Zbog toga je plan terapije uključivao vađenje svih preostalih zuba i ugradnju implantata u gornjoj i donjoj vilici. U gornjoj vilici postavljena su i dva tuberopterigoidna implantata, kao zamena za sinus lift proceduru, što se može videti na ortopan snimku nurađenom odmah nakon ugradnje (slika 3).

Već tri dana nakon operacije, pacijent je zbrinut fiksnim privremenim zubima na implantatima, čime je odmah povraćena funkcija i estetika osmeha.

Nakon završetka perioda integracije implantata, izrađeni su cirkonijum-keramički mostovi u gornjoj i donjoj vilici (slika 6.).

Pacijent ističe da je prezadovoljan rezultatom — po prvi put nakon dugo vremena može normalno da žvaće i grize hranu, uz prirodan izgled novog osmeha.

 

Pacijent 5

Kombinacijom implantata i cirkonijum-keramičkih krunica do savršenog osmeha

Nakon detaljnog kliničkog pregleda i analize radioloških snimaka, izrađen je sveobuhvatan plan terapije kojim je predviđeno vađenje zuba loše biološke vrednosti i nadoknada bezubih prostora ugradnjom dentalnih implantata.

Primenom tuberopterigoidnih implantata izbegnuta je potreba za sinus lift procedurom, čime su značajno smanjeni postoperativni bolovi i otok, a istovremeno je skraćeno ukupno vreme do izrade definitivnog protetskog rada.

Nakon završetka perioda oseointegracije, postignuta je maksimalna funkcionalna i estetska rehabilitacija izradom visokoestetskih E-max cirkonijum-keramičkih krunica, koje u potpunosti zadovoljavaju prirodan izgled, stabilnost i dugotrajnost.

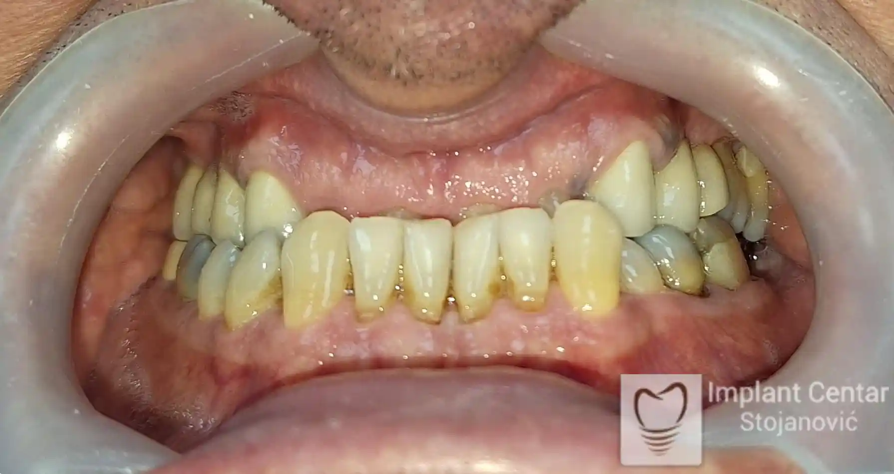
Pacijent 6

Potpuna rekonstrukcija osmeha bez transplantacije kosti i sinus lifta

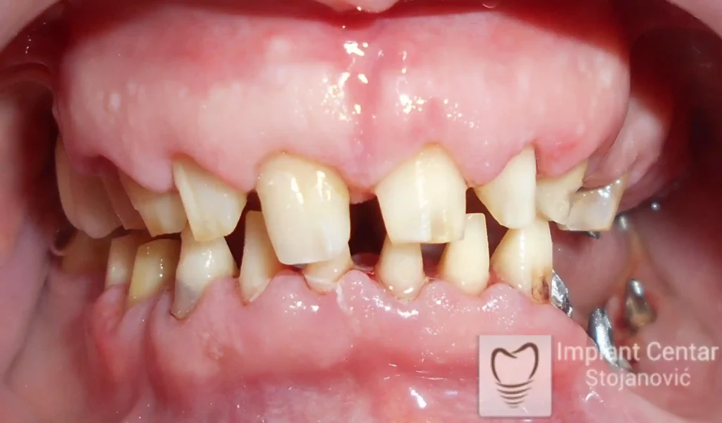
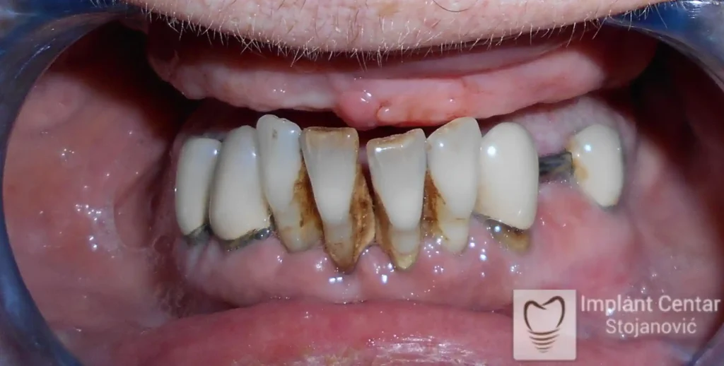
Pacijent je došao u našu ordinaciju sa totalnom protezom u gornjoj vilici i uznapredovalom parodontopatijom preostalih zuba u donjoj vilici.
U inostranstvu mu je rečeno da ugradnja implantata u gornjoj vilici nije moguća bez složenih hirurških zahvata – poput transplantacije kosti sa drugih delova tela i sinus lift procedure.

U gornjoj vilici je postojala minimalna količina kosti, izraženo spušteni sinusi i ograničena horizontalna i vertikalna visina kosti.

Naše rešenje:
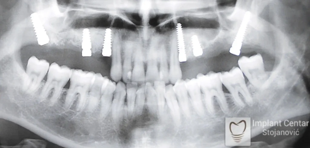
Ugrađeno je deset implantata u gornjoj vilici, u raspoloživu kost uz dodavanje veštačke kosti, od čega su dva tuberopterigoidna implantata. Ovim pristupom izbegnuta je potreba za sinus liftom, a postignuta maksimalna stabilnost.
Veći broj implantata omogućio je ravnomeran prenos žvačnih sila i izuzetnu stabilnost budućeg fiksnog rada.

U donjoj vilici su istovremeno izvađeni svi preostali zubi i ugrađeno je osam implantata.

 Kompletna rehabilitacija – hirurška i protetska faza – trajala je tri meseca.
Tokom tog perioda pacijent je u gornjoj vilici nosio privremenu totalnu protezu, a u donjoj vilici imao fiksne privremene zube postavljene na tek ugrađene implantate.

Nakon završetka procesa izrađeni su fiksni cirkonijum–keramički (bezmetalni) mostovi u obe vilice.
 Rad je uspešno završen pre četiri godine, a rezultati su i dalje besprekorni – stabilni implantati, savršena funkcija i prirodan izgled osmeha.

pre-posle

Pacijent 7

Kompletna implantološko-protetska rehabilitacija sa cirkonijum-keramičkim krunicama

Pacijentkinja je došla sa dotrajalim mostovima i preostalim zubima loše biološke vrednosti, dok su bezubi prostori bili prisutni u gornjoj vilici sa desne strane i  u donjoj vilici sa leve strane. Nakon detaljnog kliničkog pregleda i analize snimaka, izvršeno je vađenje svih zuba i ugradnja optimalnog broja dentalnih implantata.

Već tri dana nakon operacije pacijentkinja je zbrinuta privremenim krunicama, kojima je bila oduševljena jer su odmah omogućile funkciju i estetiku. Nakon perioda oseointegracije izrađene su definitivne cirkonijum-keramičke krunice, čime je postignuta maksimalna estetika, funkcija i vraćeno samopouzdanje. Pacijentkinja je presrećna postignutim rezultatom.

 

Pacijent 8

Rehabilitacija osmeha uz implantate i cirkonijum-keramičke krunice

Pacijent je došao sa starim, dotrajalim mostovima koji nisu pružali adekvatno samopouzdanje niti estetski izgled. Nakon detaljnog kliničkog pregleda i analize, izrađen je plan terapije koji je podrazumevao skidanje postojećih mostova i vađenje zuba koji nisu mogli da pruže podršku novom fiksnom protetskom radu.

Ugradnjom optimalnog broja implantata obezbeđena je dugotrajna stabilnost protetskog rada i pravilan raspored sila pri žvakanju. Definitivne cirkonijum-keramičke krunice omogućile su maksimalnu estetiku, funkciju i vraćeno samopouzdanje pacijenta.

 

Pacijent 9

Rehabilitacija osmeha kod pacijenta sa ograničenom količinom kosti


Pacijent je došao sa starim, dotrajalim mostovima koji nisu pružali adekvatnu funkciju niti estetiku, a u bočnim regijama gornje i donje vilice prisutna je bila mala količina kosti. Nakon detaljnog pregleda i analize snimaka, doneta je odluka o skidanje starih mostova i vađenju preostalih zuba loše biološke vrednosti.
Ugrađen je optimalan broj implantata, čime je obezbeđena pravilna raspodela sila žvakanj na vilične kosti i dugotrajnost protetskog rada. Pacijent je definitivno zbrinut fiksnim cirkonijum-keramičkim mostovima na implantatima, koji su omogućili vraćanje pravilne funkcije žvakanja, postizanje maksimalne estetike i povratak samopouzdanja, vraćajući osmeh na lice.

Pacijent 10

Potpuna rekonstrukcija osmeha pomoću implantata

Pacijent kod koga je, zbog uznapredovale parodontopatije, bilo indikovano vađenje svih preostalih zuba.
Na slici 1. i slici 2. prikazan je izgled pacijenta pre početka terapije – klinički i rendgenološki.

Nakon vađenja zuba, ugrađeni su implantati. Na slici 3 prikazan je ortopan snimak sa ugrđenim implantatima. Tokom perioda osteointegracije, pacijent je bio zbrinut fiksnim privremenim krunicama na implantatima, koje su izrađene samo dva dana nakon hirurške intervencije.

Na slikama 5. i 6. prikazan je izgled definitivnih cirkonijum-keramičkih mostova na implantatima.

Pacijent je izuzetno zadovoljan — kako estetikom novog osmeha, tako i funkcijom, jer ponovo može bez problema da jede i da se smeje.

 

Pacijent 11

Implantološko-protetska rehabilitacija kod abrazije zuba uzrokovane gubitkom bočnih zuba

Kod pacijenta je došlo do značajne abrazije prednjih zuba, koja je nastala zbog gubitka zuba u  bočnim regijama gornje i donje vilice i nemogućnosti žvakanja u bočnim regijama. Pacijent je preopterećivao prednje zube prilikom žvakanja, što je vremenom dovelo do istrošenosti zubnih površina i pojave funkcionalnih problema.

Bezubi prostori su nadoknađeni ugradnjom dentalnih implantata, čime je obezbeđena stabilna osnova za fiksni protetski rad. Kao završna faza terapije izrađene su metalokeramičke krunice i mostovi, oslonjeni na prirodne zube i implantate, čime je vraćena pravilna funkcija zagrizaja, stabilnost i estetski izgled osmeha.

Pacijent 12

Kompletna implantološko-protetska rehabilitacija gornje i donje vilice

Nakon detaljnog kliničkog pregleda i analize radioloških snimaka, doneta je odluka o vađenju svih zuba u gornjoj vilici, koji su potom zamenjeni dentalnim implantatima. U posteriornim regijama gornje vilice ugrađena su dva tuberopterigoidna implantata, čime je izbegnuta sinus lift procedura.

U donjoj vilici sprovedena je kombinovana rehabilitacija, uz očuvanje prirodnih zuba i ugradnju implantata u bezube prostore. Tokom perioda zarastanja, pacijent je već dva dana nakon hirurške intervencije bio zbrinut fiksnim privremenim krunicama, čime su odmah obezbeđeni funkcija i estetika.

Nakon završetka perioda oseointegracije, izrađen je definitivni protetski rad od cirkonijum-keramike. Pacijent je izrazio visok stepen zadovoljstva postignutim funkcionalnim i estetskim rezultatom.

Pacijent 13

Rekonstrukcija osmeha implantatima

Na slikama 1 i 2 prikazan je klinički izgled pacijenta pre početka terapije. Nakon detaljnog kliničkog pregleda, analize radioloških snimaka, kao i razgovora sa pacijentom o njegovim željama i očekivanjima, izrađen je sveobuhvatan plan terapije. Terapija je podrazumevala vađenje preostalih zuba, ugradnju dentalnih implantata i izradu fiksnog protetskog rada na implantatima.

Tokom perioda osteointegracije, pacijent je bio zbrinut fiksnim privremenim krunicama na implantatima, čime su očuvani estetika i funkcija. Nakon završetka perioda integracije, izrađeni su definitivni cirkonijum-keramički mostovi (slika 6 i 7 ).

Pacijent je izuzetno zadovoljan postignutim rezultatom, jer su u potpunosti vraćeni prirodan izgled osmeha i puna oralna funkcija.

 

Pacijent 14

Rekonstrukcija osmeha pomoću implantata

Kod pacijenta sa uznapredovalom parodontopatijom bilo je neophodno vađenje svih preostalih zuba. Nakon toga, ugrađeni su dentalni implantati koji su poslužili kao stabilna osnova za novi osmeh.

Već dva dana nakon hirurške intervencije, pacijent je dobio fiksne privremene krunice na implantatima, čime su odmah obezbeđeni funkcija i estetika tokom perioda zarastanja.

Po završetku osteointegracije, izrađeni su definitivni cirkonijum-keramički mostovi na implantatima, koji u potpunosti vraćaju prirodan izgled osmeha i sigurnu žvačnu funkciju.

Rezultat je estetski prirodan, funkcionalno stabilan i dugotrajan osmeh, uz visok nivo zadovoljstva pacijenta u svakodnevnim aktivnostima — ishrani, govoru i osmehu.

Pacijent 15

Kompletna implantološko-protetska rehabilitacija sa fiksnim mostovima

Kod pacijenta su u donjoj vilici očuvani frontalni zubi, dok su u bočnim regijama ugrađeni dentalni implantati radi nadoknade izgubljenih zuba. U gornjoj vilici izvršeno je vađenje svih zuba, nakon čega su ugrađeni implantati koji su poslužili kao nosači budućeg fiksnog protetskog rada.

Tokom perioda oseointegracije pacijent je nosio fiksne privremene krunice, čime su obezbeđeni funkcija, estetika i komfor tokom zarastanja. Po završetku integracije implantata, izrađeni su definitivni metalokeramički mostovi.

Pacijent je veoma zadovoljan postignutim rezultatom, kako u pogledu funkcije i stabilnosti zagrižaja, tako i u pogledu estetike osmeha.

 

Pacijent 16

Totalna rehabilitacija gornje vilice i implantološka nadoknada

Zbog loše biološke vrednosti zuba u gornjoj vilici, izvršeno je vađenje svih zuba i ugradnja dentalnih implantata kao osnove za budući fiksni protetski rad. Zbog spuštenog maksilarnog sinusa, u posteriornim regijama gornje vilice ugrađeni su tuberopterigoidni implantati, čime je izbegnuta sinus lift procedura.

U donjoj vilici sačuvani su frontalni zubi, dok su u bočnim regijama obezbeđeni stabilni nosači za protetsku rehabilitaciju. Nakon završetka perioda oseointegracije, izrađeni su definitivni metalokeramički mostovi.

Pacijent je izuzetno zadovoljan postignutim rezultatom, kako u pogledu funkcije i stabilnosti zagrizaja, tako i u pogledu estetike osmeha.

 

Pacijent 17

Rešavanje totalne bezubosti implantatima sa fiksnim cirkonijum–keramičkim mostovima

Pacijent je došao sa totalnim protezama u obe vilice, koje su ga profesionalno ograničavale jer se bavi sviranjem duvačkog instrumenta. Njegov cilj bio je stabilan, funkcionalan i estetski osmeh, koji ne ometa profesionalnu aktivnost.

Naše rešenje:

  • U obe vilice su ugrađeni implantati, a zatim izrađeni fiksni cirkonijum–keramički mostovi.
  • Veliki izazov predstavljala je smanjena visina kosti u bočnim regijama gornje vilice, što smo rešili ugradnjom dva tuberopterigoidna implantata.
  • Ukupno je u gornjoj vilici ugrađeno 10 implantata kako bi se obezbedilo ravnomerno opterećenje pri žvakanju, a u donjoj vilici 8 implantata, što je omogućilo optimalnu stabilnost.

Nakon perioda oseointegracije, pacijentu su izrađeni definitivni cirkonijum–keramički mostovi na implantatima u obe vilice.

 Rezultat:

  • Potpuna stabilnost i funkcija osmeha
  • Prirodna estetika i harmonija
  • Rešenje prilagođeno profesionalnim potrebama pacijenta

 

Pacijent 18

Rekonstrukcija osmeha i zagrizaja uz implantate i metalokeramičke mostove


Pacijent je došao sa starim mostom u gornjoj vilici i izraženom parodontopatijom preostalih zuba nosača mosta, kao i parodontopatijom zuba u donjoj vilici. Nakon detaljnog pregleda i analize snimaka, sprovedena je terapija koja je uključivala skidanje starih mostova, vađenje zuba i ugradnju optimalnog broja implantata, obezbeđujući stabilnu rekonstrukciju zagrižaja i osmeha.
Već dva meseca nakon ugradnje implantata, izrađeni su fiksni metalokeramički mostovi na implantatima, čime je postignuta potpuna funkcija žvakanja, maksimalna estetika i vraćeno samopouzdanie i osmeh pacijenta.

Pacijent 19

Cirkonijum–keramičke krunice za savršen osmeh

Pacijent je u gornjoj vilici imao kompletnu rekonstrukciju pomoću cirkonijum–keramičkih (bezmetalnih) krunica i mostova a u donoj vilici je ugradnjom implantata i izrdom cirkonijum keramičkih mmostova postignuta rekonstrukcija bezubih prostora u bočnim regijama

. Ovim zahvatom postignuta je maksimalna estetika i prirodan izgled zuba, uz savršenu funkcionalnost i stabilnost.

Cirkonijum krunice su izuzetno čvrste, biokompatibilne i estetski superiorne, pa predstavljaju idealan izbor za pacijente koji žele dugotrajan i prirodan osmeh.

 Rezultat: savršena harmonija funkcije i estetike!

 

✅ Bezmetalan materijal
✅ Prirodna translucencija i sjaj
✅ Dugotrajna stabilnost i precizno naleganje

Pacijent 20

Kombinacija kratkih i tuberopterigoidnih implantata za savršen funkcionalni i estetski rezultat

Kod ovog pacijenta smo estetsku i funkcionalnu rehabilitaciju rešili pomoću cirkonijum–keramičkih (bezmetalnih) krunica i pažljivo planiranog sistema implantata.

U donjoj vilici su zbog smanjene visine kosti ugrađeni kratki implantati, što je omogućilo stabilan i dugotrajan protetski rad bez potrebe za dodatnim koštanim augmentacijama.

U gornjoj vilici, na levoj strani, odmah nakon vađenja zuba ugrađen je standardni implantat na mesto izvađenog zuba, kao i tuberopterigoidni implantat koji je omogućio izbegavanje komplikovane sinus lift procedure. Na taj način ceo proces je bio brži, manje invazivan i komforniji za pacijenta.

Od završetka terapije prošlo je pet godina, a pacijent je i dalje potpuno bez tegoba — implantati su stabilni, a osmeh funkcionalan i estetski besprekoran.

Pre Posle

Pacijent 21

Implantati kao savršeno rešenje kada prirodni zubi više ne mogu da se očuvaju

Kod pacijenta je, nakon detaljnog kliničkog pregleda i analize radioloških snimaka, izrađen precizan plan terapije koji je podrazumevao uklanjanje postojećih mostova i vađenje svih zuba zbog njihove loše biološke vrednosti. Bezubi prostori zamenjeni su optimalnim brojem dentalnih implantata, koji obezbeđuju stabilnu i dugotrajnu potporu budućem fiksnom protetskom radu, uz potpuno vraćanje funkcije i estetike osmeha.

Pre Posle

Pacijent 22

Rehabilitacija osmeha kod pacijenta sa dotrajalim mostovima i parodontopatijom

Pacijent je došao sa dotrajalim mostovima u gornjoj vilici i izraženom parodontopatijom zuba u donjoj vilici. Nakon detaljnog kliničkog pregleda i analize snimaka, izrađen je plan terapije koji je podrazumevao skidanje starih mostova i vađenje zuba koji nisu mogli da pruže adekvatnu podršku budućem fiksnom protetskom radu.

Ugradnjom implantata obezbeđena je stabilna osnova sa pravilnim rasporedom sila žvakanja, dok je kao završna faza terapije izrađen definitivni protetski rad u vidu cirkonijum-keramičkih mostova na implantatima. Time je vraćena puna funkcija žvakanja, postignuta maksimalna estetika i samopouzdanje, a pacijent je potpuno zadovoljan svojim novim osmehom.

Pre Posle

Pacijent 23

Rekonstrukcija zagrizaja u bočnim regijama pomoću implantata

Usled gubitka zuba u bočnim regijama, pacijent je imao izražene poteškoće sa adekvatnim žvakanjem hrane i stabilnošću zagrizaja. Nakon detaljnog kliničkog pregleda i analize radioloških snimaka, izrađen je precizan plan terapije koji je podrazumevao vađenje zuba loše biološke vrednosti, koji nisu mogli da pruže adekvatnu potporu budućem fiksnom protetskom radu.

Bezubi prostori nadoknađeni su dentalnim implantatima, a primenom tuberopterigoidnih implantata izbegnuta je sinus lift procedura, čime su smanjena invazivnost zahvata i postoperativni oporavak. Nakon završetka perioda oseointegracije, izradom cirkonijum-keramičkih krunica na zubima i mostova na impalntatima postignuta je maksimalna funkcionalna stabilnost zagrizaja i visok nivo estetskog rezultata.

Pre Posle

Pacijent 24

Sanacija gornje vilice cirkonijum–keramičkim krunicama i mostovima za savršen osmeh

Pacijent je došao sa potrebom za estetskom i funkcionalnom rehabilitacijom gornje vilice. Naše rešenje je uključivalo izradu cirkonijum–keramičkih (bezmetalnih) krunica i mostova, čime je postignut maksimalan estetski efekat i potpuno prirodan izgled osmeha.

Tokom terapije, pacijent je dobio stabilno i dugotrajno rešenje, koje kombinuje funkcionalnost i estetiku, bez kompromisa. Rezultat je harmoničan, blistav i prirodan osmeh, koji traje godinama.

Pre Posle

Pacijent 25

Kombinovana rekonstrukcija osmeha uz ugradnju implantata i korišćenje preostalih zuba kao nosača protetskog rada

Kod ovog pacijenta je urađena kombinacija ugradnje implantata radi nadoknade bezubih prostora i estetsko-funkcionalna rehabilitacija pomoću cirkonijum–keramičkih (bezmetalnih) krunica i mostova.

Nakon perioda oseointegracije od tri meseca, kompletan rad je uspešno završen – postignut je prirodan izgled, savršena funkcija i maksimalna stabilnost.

Cirkonijum–keramičke krunice i mostovi pružaju izuzetnu estetiku, dugotrajnost i biokompatibilnost, što ih čini idealnim izborom za trajna rešenja bez kompromisa.

Pre Posle

Pacijent 26

Rešenje bez sinus lifta – uz pomoć tuberopterigoidnih implantata

Pacijent je bio bez zuba u bočnim regijama gornje vilice, sa minimalnom količinom kosti i spuštenim sinusima. Nakon što je u više ordinacija čuo da je jedino rešenje komplikovana sinus lift procedura, odlučio je da potraži drugo, manje invazivno rešenje.

U našoj ordinaciji predložili smo ugradnju po tri implantata sa svake strane, od kojih su dva tuberopterigoidna implantata. Ovim pristupom izbegnuta je potreba za sinus liftom, a implantati su ugrađeni uz minimalnu traumu i brži oporavak.

📆 Slučaj je urađen pre četiri godine, a na poslednjoj kontroli sve izgleda besprekorno – implantati su potpuno stabilni, a funkcija i estetika savršeno očuvane.

✅ Dugoročno stabilno rešenje
✅ Bez sinus lifta
✅ Minimalno invazivna procedura

 

Pre Posle

Pacijent 27

Kompletna rehabilitacija osmeha kod pacijenta sa parodontopatijom i gubitkom zuba

Pacijent je došao sa izraženom parodontopatijom i gubitkom zuba, pri čemu preostali zubi nisu mogli da se sačuvaju zbog loše biološke vrednosti. Indikovana je ekstrakcija svih zuba i ugradnja optimalnog broja implantata, uključujući tuberopterigoidne implantate u gornjoj vilici kao alternativu sinus lift proceduri.

Kao definitivno protetsko rešenje izrađeni su metalokeramički mostovi na implantatima, čime je pacijentu vraćena potpuna funkcija žvakanja, maksimalna estetika i samopouzdanje. Nakon intervencije, pacijent je konačno mogao da se smeje sa osmehom koji je dugo godina skrivao.

Pacijent 28

Rekonstrukcija osmeha kombinacijom ugradnje implantata i izradom krunica na preostalim prirodnim zubima

Kod ovog pacijenta je urađena rekonstrukcija osmeha kombinacijom ugradnje implantata i izradom krunica na preostalim prirodnim zubima.
Na ovaj način postignuta je potpuna funkcionalna i estetska harmonija, uz maksimalno očuvanje zdravih zuba i prirodnog izgleda osmeha.

 Rezultat: stabilno, dugotrajno i estetski savršeno rešenje.

Pre Posle

Pacijent 29

Potpuna rekonstrukcija osmeha implantatima i cirkonijum–keramičkim mostovima

Pacijent je došao u ordinaciju sa starim mostovima i izraženom parodontopatijom u donjoj vilici. Nakon detaljne analize, odlučeno je da se uradi uklanjanje postojećih mostova i ekstrakcija svih parodontopatičnih zuba.

U istom aktu je urađena ugradnja sedam implantata u gornjoj vilici i pet implantata u donjoj vilici.

Već nakon tri dana, pacijent je bio privremeno protetski zbrinut — postavljene su fiksne privremene krunice koje su bile pričvršćene direktno na tek ugrađene implantate.

 Nakon perioda oseointegracije od četiri meseca, izrađeni su fiksni cirkonijum–keramički (bezmetalni) mostovi u obe vilice.

Rad je završen pre tri godine, a implantati su i dalje potpuno stabilni — funkcija i estetika su besprekorne.

Pre Posle