|
Obezbeđen smeštaj svim pacijentima sa prebivalištem van Beograda za vreme trajanja intervencije.
|
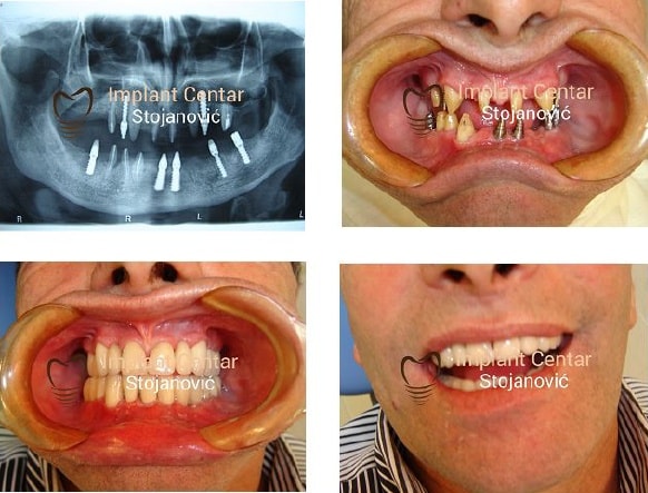
U Srbiji je mali broj implantologa koje se bave implantologijom duže od 10 godina, a još manje onih od preko 15. Mi to već radimo duže od 30 godina. Objavili smo preko 30 radova iz oblasti implantologije. Utemeljivači smo implantologije što nam uz dugogodišnje iskustvo omogućava da rešavamo najteže slučajeve, koji drugi ne mogu da reše. Za nas nema nerešivih slučajeva, polovičnih rešenja, nema kompromisa, naši pacijenti su maksimalno zaštićeni, a naša galerija predstavlja deo našeg iskustva.
Dobar implantolog je onaj koji ima znanja i iskustva da proceni kompletno pacijentovo stanje, stanje vilične kosti i preostalih zuba i da na osnovu tih parametara da najbolji i najracionalniji predlog pacijentu za rešavanje tog stanja. Pacijentu je potrebno uliti poverenje svojim stručnim znanjem, a onda ga i opravdati radom. Svaku situaciju bi trebalo predstaviti realno, bez veličanja ka pozitivnoj ili negativnoj strani. Pacijenta nikada ne bi trebalo obeshrabriti, i uvek je potrebno naći rešenje za njegov problem. Dobar implantolog je implantolog na delu!
Dobar implantolog je onaj koji ima znanja i iskustva da proceni kompletno pacijentovo stanje, stanje vilične kosti i preostalih zuba i da na osnovu tih parametara da najbolji i najracionalniji predlog pacijentu za rešavanje tog stanja. Pacijentu je potrebno uliti poverenje svojim stručnim znanjem, a onda ga i opravdati radom. Svaku situaciju bi trebalo predstaviti realno, bez veličanja ka pozitivnoj ili negativnoj strani. Pacijenta nikada ne bi trebalo obeshrabriti, i uvek je potrebno naći rešenje za njegov problem. Dobar implantolog je implantolog na delu!
Implant Centar Stojanović vodi Primarijus dr. Branislav Stojanović na adresi Gaudijeva 4, Beograd. Primarijus dr. Branislav Stojanović je prepoznatiljivo ime u implantologiji Srbije.
Da bi se upoznali sa kompletnim načinom rada i razmišljanja o implantologiji možete pogledati intervju koji je primarijus Dr Branislav Stojanović dao u emisiji Studio B život punim plućima.
U „Implant Centru Stojanović“ se rešava 98 posto najkomplikovanijih slučajeva u implatologiji, radimo bez komplikovanih dodatnih hirurških procedura (sinus lift procedura) i rešavamo sve implantološke slučajeve sa FIKSNIM PROTETSKIM RADOVIMA. Ne podržavamo i smatramo kao loše rešenje za pacijenta ALL ON 4 proceduru, jer na ovaj način štitimo pacijenta da ne nosi ponovo protezu koja je samo čvršća. Problemi koji nastaju kod ALL ON 4 procedure su mnogo češći nego kod fiksnih protetskih radova. Ove tvrdnje nisu zasnovane na podacima iz literature već na osnovu dvadesetčetvorogodišnjeg iskustva u implantologiji.
Razlikujemo se od ostalih zato što uživamo poverenje pacijenta i to poverenje težimo da očuvamo. Pacijenta štitimo iskustvom, stručnošću, i stalnim usavršavanjem u struci. Mi imamo osnova da objavimo statistike uspešnosti koja je viša od svetske, i naši radovi govore o tome. Procenu uspešnosti mogu dati samo oni koji imaju svoju statistiku na desetogodišnjem nivou, a za takvu procenu je potrebno iskustvo od najmanje 15 godina. Procena data bez takve analize je neozbiljna i neutemeljena na realnim osnovama.
Radi informisanosti pacijenata implanti sistem koji mi primenjujemo je JD Evolution.
Kod nas se obavljaju najkompleksnije procedure iz implantologije i implantološke protetike kao i u vrhunskim modernim i naprednim svetskim centrima:
– Ugradnja implantata sa suprastrukturom (nadgradnjom)
– Tuber-pterigoidni implantat kao ZAMENA ZA SINUS LIFT PROCEDURU
– Oralna hirirugija (SVE VRSTE ORALNO-HIRURŠKIH INTERVENCIJA)
– Parodontološka hirurgija
– Stomatološka protetika
– Stomatološka protetika na implantatima
– Bezmetalna keramika
– Estetska stomatologija
Obuhvata hirurške procedure koje imaju za cilj funkcionalnu rehabilitaciju pacijenata upotrebom dentalnih implantata, odnosno metalnih elemenata koji se hirurški ugrađuju u gornju i donju vilicu. Implantati mogu da imaju različiti oblik, mogu da se ugrade u različitim pozicijama i različitim tehnikama. Trenutno se većina implantata izrađuje od titanijuma.
Implantati ugrađeni u kost inkorporiraju se procesom regeneracije kosti i na taj način dolazi do čvrste veze između implantata i kosti. Ovako integrisani implantati su spremni da nose protetski rad – mostove ili solo navlake.
Da se nasmejete sa samopouzdanjem
Da jedete šta god poželite i gde god želite
Da pričate i smejete se bez neprijatnosti
Primenjujemo implantologiju koja se oslanja na višedecenijsko iskustvo i stalno praćenje rezultata — tako gradimo poverenje i dugoročne ishode za svakog pacijenta.
Implantologija u praksi od 1997.Uspešnost implantata (period 1997–2014, protetska faza):
Radili smo sa više implantacijskih sistema bez značajnih odstupanja u procentu uspešnosti — što je i objavljeno u našim stručnim radovima.
Uspešnost ne zavisi direktno od brenda. Ključni su: tip, kvalitet i kvantitet kosti, dizajn/navor implantata, precizna procena i iskustvo implantologa, kao i tehnika ugradnje.
Od 1998. pratimo i primenjujemo koncept ranog opterećenja — kada primarno stabilni implantati pokazuju veću stabilnost i bolje prijanjanje, mogu se ranije opteretiti uz kontrolisane uslove.
Istraživanje: 34 pacijenta (38–78 god.), praćeno 4 godine. Uspešnost u posthirurškoj fazi: 96%. Parametri: stabilnost, resorpcija kosti oko implantata i stanje mekih tkiva. (Zaključci iz rada „Opterećenje šraf-cilindričnih implantata u periodu od 2 do 4 nedelje nakon ugradnje“, Stomatolog 69/2002, Prim. dr Branislav Stojanović)
Vreme opterećenja nije strogo univerzalno — zavisi od uslova za implantaciju, tipa i kvaliteta kosti, kao i veštine lekara koji izvodi ugradnju i izradu nadoknade. Naša je uloga da precizno procenimo, jasno objasnimo opcije i zajednički donesemo najbolju odluku.
Implantologija je realnost današnjice i budućnosti: informišemo, pružamo mogućnost, a vi birate rešenje koje odgovara vašem osmehu i načinu života.
Prim. dr Branislav Stojanović zajedno sa grupom entuzijasta postavlja temelje moderne implantologije u Srbiji i smatra se za jednog od njenih utemeljivača u Srbiji. Učestvovao je na velikom broju domaćih i internacionalnih kongresa, i objavio veliki broj radova iz oblasti implantologije. Na osnovu dugogodišnjeg iskustva, doprinosa u razvoju stomatologije a posebno implantologije, kao i broja objavljenih radova, dr Stojanović je stekao titulu primarijusa 2009. godine.
Bilo da dolazite iz Beograda ili iz inostranstva, naša ordinacija pruža vrhunsku stomatološku negu uz personalizovan pristup, stručnost i posvećenost detaljima.
Sva prava zadržana ©2026 Implant Centar Stojanović